Ultimate All-on-X
Online Course
Comprehensive training for surgeons and prosthodontists on the All-on-X concept by a renowned implantology expert, Dr Mark Bishara!
+ 2 BONUS Courses
11 Chapters
4h 53m
6.5 CE/CPD

Expand your scope of treatment today!

Have you been placing single implants for a while, and are ready to move into full arch cases… but you’re not sure where to start?
The Ultimate All-on-X Online Course by Dr Mark Bishara is tailored for dental professionals like you. This course is your gateway to mastering full arch implant procedures, equipping you to offer complete in-house solutions.
It goes in-depth on the surgery process and what to expect with all the minute details of a live patient course. You’ll also see case examples for different scenarios you might encounter and how to overcome any complications as well.
Course Outline
What will I learn by taking this course?
+ Bonus Courses Included

Digital Implant Workflows for Predictable Results
When choosing CAD/CAM technologies for your practice, find out everything you need to know - what, why, and how as Dr. August de Oliveira will introduce you to all the current CAD/CAM tools you might consider if you’re upgrading your general practice

Digital Workflows for Implant-Supported Restorations
This course will teach you a blueprint for digitally restoring implants in general dental practice. Know your options for in-house CAD/CAM manufacturing or outsourcing restorations to design centers or labs.



Why should you take this course?
Being able to offer full-arch implant solutions is a massive positive for your patients, your practice, and your dentistry.
Increased Revenue
Expanding your in-house services reduces the need for referrals, allowing you to keep revenue in-house.
Streamlined Organization
You’ll be able to treatment plan everything, down to the final prosthesis, prior to the surgery.
Patient Confidence
Patients will feel more comfortable and trusting, as they only have to see one dental professional for their surgery.
Complete Oversight
You’ll eliminate miscommunication between yourself and the oral surgeon, retain greater control over the entire procedure, and keep all records in-house.
Real-Time Adjustments
Since the surgery would be done in-house, you can monitor the patient's healing and make any necessary changes if needed ahead of time for the final prosthesis.
Professional Standing
Retaining complex cases helps build your reputation amongst fellow dental professionals and patients, while retaining revenue you might have missed out on.
Ultimate All-on-X
Online Course
$595 USD
Sample the Course Content Below!
Get unlimited access to Ultimate All-on-X, complete with many tips and tricks from a dental implant expert.
With lifetime access, you can revisit the course whenever you need at your own pace. Also, get access to any new updates we release!
These courses are available with English subtitles.

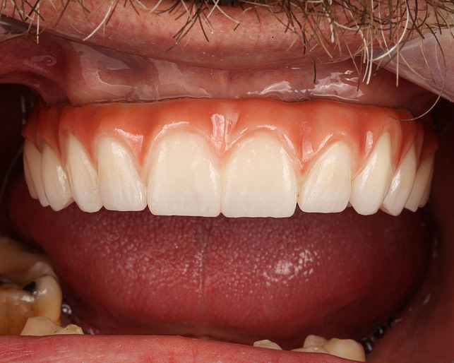
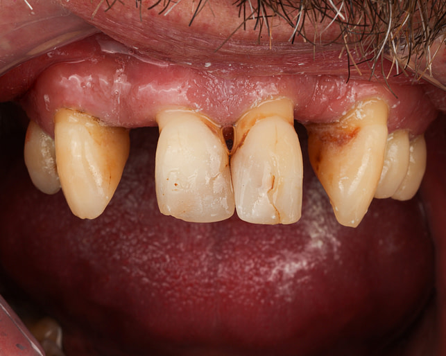
Before

After
Meet Your educator
Dr. Mark Bishara
DDS | President and Founder of CIDN | Speaker | Published Author
Dr. Mark Bishara completed his undergraduate studies in medical biophysics, at the University of Western Ontario and was a gold medal recipient as top graduate of his program. He went on to complete his Doctor of Dental Surgery degree at the Schulich School of Medicine and Dentistry. Since graduating, he practices in the Durham region with a focus on digital workflow, dental implants, bone grafting material regeneration and tissue regeneration. He currently collaborates with members of the Miron Lab in the United States on tissue regeneration utilizing Platelet Rich Fibrin(PRF). He is a published author on PRF, immediate dental implants and clinical applications. He is the President and founder of the Canadian Implant Dentistry Network (CIDN), Canada’s largest dental implant community with over 13,000 members focused on advancing implant dentistry.


