Guided implantology systems are making some waves in digital implantolgy. Although they have been around for some time, we are seeing more of these products being released on the market lately - especially at IDS 2023. One of the first mainstream products is X-Guide sold by Nobel Biocare.
Dynamic Navigation allows dentists to plan and execute implant surgeries with greater accuracy, reducing the risk of complications and improving the overall success rate of the procedure. Additionally, this technology can also make the surgery faster (after getting over the learning curve) and less invasive, leading to faster healing times and a more comfortable patient experience.
However, despite these benefits, some dentists may be hesitant to adopt Dynamic Navigation due to concerns about the cost and the learning curve associated with using the technology. Not to mention the size of some of these products.
It’s still a relatively new technology in dentistry in terms of adoption rates. We have been personally using this technology for over 10 months in our practice in New Zealand. This review is a deep dive on dynamic navigation and how the X-Guide system has performed.
The question is, should you invest in dynamic navigation? How does it compare to surgical guides? Is it worth it? Lets find out!
Disclaimer: Nobel Biocare sent the team at iDD an X Guide system for review. They did not sponsor this post. This is a completely objective review of the X Guide. We are not affiliated with Nobel Biocare and iDD is committed to providing you with objective and trustworthy reviews. Enjoy.
What is Dynamic Navigation Implant Surgery in Dentistry?
Navigated dental implant surgery is a technique that uses a computer-guided navigation system to assist dentists during dental implant placement procedures. The system uses 3D imaging and real-time navigation technology to provide visual guidance to the clinician during the implant placement procedure.
It’s a lot like driving with a GPS, in that you need to know how to drive a car to be successful, but the GPS is extremely helpful for getting you where you need to go!



Similar to most digital implant surgery planning, the process starts with a CBCT x-ray of the patient's mouth. An intraoral scan is optional but not mandatory. The CBCT is used to plan the implant placement - taking into consideration the optimal position, angle and depth of the implant for the best possible outcome. The final restoration can be simulated, allowing restorative driven implant placement.
During the procedure, the navigation system provides real-time feedback while using the implant drills and inserting the implant. How it works is while carrying out the osteotomy, you are watching the screen and it gives you real-time feedback of where your drill is going. This ensures that the implant is placed in the exact position and angle as planned.
Without a doubt, navigated dental implant surgery when used properly can help to reduce the risk of complications and increase the success rate of dental implant procedures.
There are several navigated implant surgery systems available in the market, these include:
- X-Guide by X-Nav Technologies, distributed by Nobel Biocare
- Navident by ClaroNav
- Falcon by Straumann
- IGI by Image Navigation
What is the X-Guide Guided Implant System?
X-Guide is a dynamic navigation system developed by X-Nav Technologies and now sold by Nobel Biocare, that assists clinicians in placing dental implants. The system uses 3D imaging and real-time navigation technology to provide visual guidance during implant placement procedures. It is a complete package with tracking hardware and the DTX implant planning software suite. The cost of X-Guide at the time of this review is around 40,000 USD.
Who is X-Nav Technologies and Nobel Biocare
X-Nav Technologies is a company based in the USA focussed on navigated surgery solutions. The company states it has over 350+ cumulative years of medical/dental product experience, with a team consisting of advanced optical CT guidance scientists, dental/medical planning software experts, leading dental CBCT engineers and clinical and industry relation experts.
X-Guide was developed in close collaboration with leading Oral and Maxillofacial Surgeons, and promises to deliver better implant surgery outcomes. It was launched officially in 2016 and a partnership with Nobel Biocare was established in 2017.
Nobel Biocare, which likely requires no introduction, is a global leader in the field of dental implants and dental restoration solutions. The company was founded in 1981 in Gothenburg, Sweden. The company's product line includes a range of dental implants, abutments, prosthetics, and digital dentistry solutions, such as the X-Guide navigation system. Nobel Biocare is part of the Envista group.
Components of the X-Guide Navigated Implant System

X-Guide cart with overhead Blue-OptiX LED lights, Stereo cameras and live navigation screen.
X-Clip with X-Point tracking system.

Calibration disc for handpiece, calibration plate for drills/implants and X-Mark Probe.

Surgical handpiece with proprietary X-Point tracking pattern.
Although X-Guide requires the use of its proprietary X-Point tracking pattern, this is compatible with dozens of handpieces from various manufacturers including W&H, Kavo, NSK, Anthogyr, and Bien Air.
X-Guide Software
X-Guide comes with in-built software to plan implants on the machine itself. It is a bit rudimentary in that you can only put in dimensions for a generic implant shape rather than import implant libraries but it does the job for a simple implant planning software.
The restoration planning is also quite basic as well. However, the X-Guide also comes with a license for the DTX implant software suite (for use on a separate computer). This is a fully-fledged implant planning software. The finished plan can then be imported into X-Guide to complete the surgery. X-Guide essentially gives you two options - quickly plan a surgery on the X-Guide itself, or use DTX for a more traditional and fully fledged surgical plan.
Comparison to Guided Implant Surgery
Guided dental implant surgery involves the use of a surgical guide or stent to direct the exact placement and angulation of the implant. Similar to Dynamic Navigation, the process starts with a CBCT scan. An intraoral scan is required, or an impression/model can be scanned (for a typical dentate case). Again, CAD software is used to plan the position of the implant and future restoration.
The software is then used to design the surgical guide. The surgical guide has a channel inside it that can direct the implant drills and the implant into the planned position. The finished design is then exported as an STL for 3D printing or milling.


Dynamic Navigation vs. a Surgical Guide
Limitations of Guided Dental Implant Surgery
Guided dental implant surgery can provide many benefits. There are also some limitations and disadvantages to consider:
- Limited visibility: The use of a surgical guide can limit the dentist's visibility and access to the surgical site, making it difficult to observe and make adjustments during the procedure.
- Limited access: In cases with limited mouth opening or limited space, it may not be possible to insert an implant drill into the sleeve of the surgical guide, especially in the second molar region. Some guided systems get around this by having a channel in the side to pass the drill through. Also consider that the sleeve of the surgical guide may not fit in narrow edentulous spaces, e.g., missing lower incisor.
- Limited customization: While guided surgery allows for a high level of precision and accuracy, the surgical guide is created based on a pre-op 3D model of the patient's anatomy. This means that there may be limitations to the level of adaptability that can be achieved during surgery, particularly in cases where there is significant bone lost during the procedure (e.g. immediate implant placement) or if other anatomical irregularities are encountered.
- Not completely guided: Some guided surgery systems are not fully guided. They may only guide the pilot drill (first drill). Or it may not be possible to insert the implant through the guide.
- Multiple Tools: Some guided systems require the use of ‘spoons.’ If you are using a narrow initial drill, the channel will be too wide to control the drill. You select the corresponding ‘spoon’ to size down the channel according to the diameter of the drill. This is an extra object to hold/stabilize during surgery.
- To do it in-house you need equipment: Intraoral scanner, CAD software, and 3D printer + resins or a milling machine to produce the guide. Some systems require the use of metal sleeves in the guide and guided implant-specific surgical kits.
- Potential for errors: While guided surgery is designed to be highly precise, errors can still occur. For example, if the surgical guide is not accurately fabricated, incorrectly seated during the procedure, or if not following the sequence/instructions specific to the system. Or a number of errors during the CAD/CAM phase.
- Time factor: Guided dental implant surgery involves additional planning and preparation time. The surgery typically takes place in a subsequent appointment to the record taking because of the fabrication time of the surgical guide.
- Cost: CAD software for implant planning and guide creation can have expensive licensing/subscription fees. As well as the cost of the 3D printer and resins, sleeves, and guided implant-specific surgical kits. The planning and surgical guide creation can be outsourced at an additional cost too.
Typical Workflow for Dentate Cases

Dynamic Navigation typical workflow.

The typical workflow for surgical guide fabrication.
Note about Edentulous Cases:
A surgical guide can be made with bone fixation pins. Dynamic navigation can be done with EDX hardware with bone fixation screws. Both can be done flapped or flap-less .
X-Guide vs Guided | Dynamic Navigation | Surgical Guide |
|---|---|---|
Patient Records | CBCT | CBCT Intraoral scan (alternatively impression/model can be scanned) |
Equipment | Navigation system Implant planning software Tracking hardware | Surgical Guide CAD software 3D Printer Guided Implant Surgical Kit |
Consumables | X Clip | Printer resin or |
What we Liked and Disliked About X-Guide
Liked:
- More accurate implant placement and safer than freehand placement, especially for inexperienced implant dentists.
- Can change your surgical plan on the fly. Unlike guided surgery, while using dynamic navigation you are not restricted to what the plan is at the start. If during surgery you want to change position of the implant for whatever reason, you still can with all the information that dynamic navigation provides for you.
- Huge wow factor for my patients. Every single one has been very impressed by the X-Guide. They feel as though they are getting the most advanced and safe dental treatment available. Showing them live-navigation is a big WOW factor.
- Faster workflow than guided surgery for same-day surgery. Doesn’t require an intraoral scan. You can upload a CBCT into the X-Guide, rapidly plan the implant and instantly start the procedure. Rather than having to fabricate a surgical guide which can take an hour or two from scan to design to fabrication (which realistically may mean the surgery wouldn’t take place on the day of the record taking). We practiced speed-running the process in a non-clinical setting. Uploading the CBCT, planning the implant, calibration, registration, drilling into a 3D printed solid model and placing the dental implant. We got the time down to 12 minutes using Dynamic Navigation
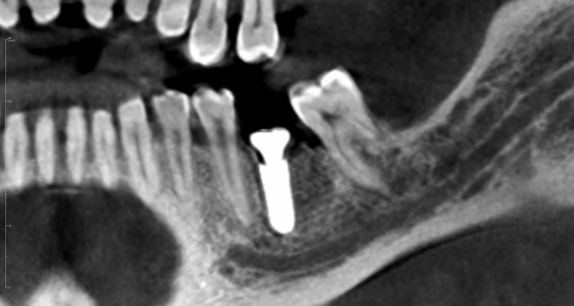
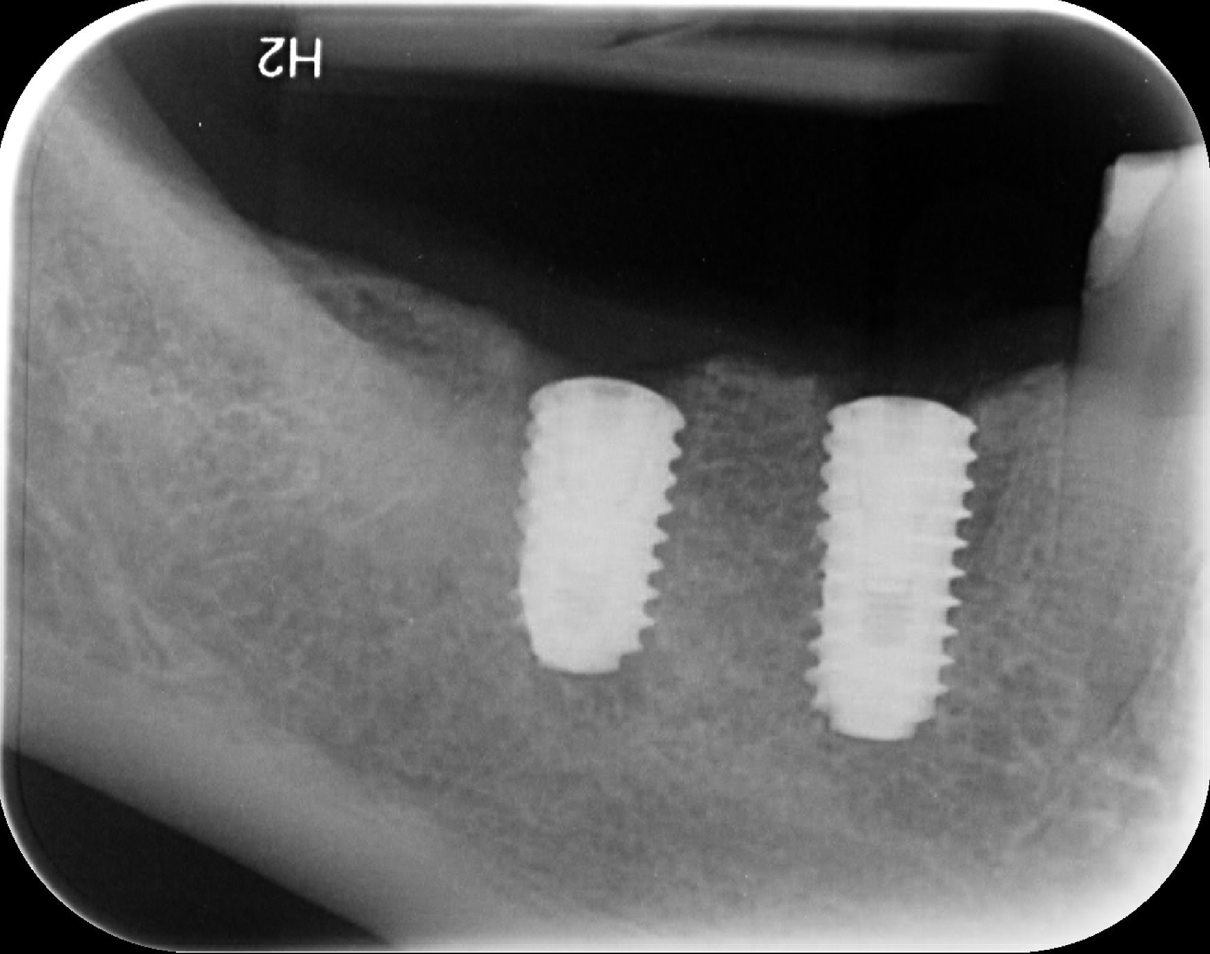
- Healed site implant. Very fast and accurate workflow. Can be done flapless too.


Two implants placed using the X-Guide System by Dr Ashish Gulati at iDD. The results are excellent.
Disliked
- Large amount of floor space taken up by the X-Guide. Some of our clinical rooms wouldn’t fit the X-Guide due to space/configuration.
- Limitations in the positioning of the screen and overhead unit. Can get in the way of the dental chair cart/suction/light.
- 60-80cm is the ideal distance between the X-Guide cameras and surgical trackers. For taller operators, this can lead to bumping into the overhead assembly with your head especially if standing and carrying out surgery. This also factors in to the limitations to operator position, hand positioning, and vision with X-Clip in place
- Additional steps are required in the surgical appointment. Placing X-Clip, patient registration, calibrating each drill and implant before use on the patient.
- X-Clip positioning - need to soak in very hot water for a few minutes which can be a pain if you forgot to heat it in advance (Nobel Biocare recommends keeping them in a hot water unit for this reason). Requires teeth with undercuts for the X-Clip to be secure. Posterior teeth seemed to work much better (can create undercuts by bonding composite resin on smooth surfaces). If the X-Clip moves during the surgery, this will misalign the patient registration with the CBCT and lead to inaccuracy in the entire process.
- Potential for errors - accurate patient registration is crucial for the implant to end up in the planned position. What helps is having a larger ‘spread’ of registration points. The further apart the better but not always possible due to the location of X-Clip and missing teeth.
Another side note is - immediate implants. As the drill is not stabilized by a surgical guide, an extraction socket can still result in deflecting the drill unfavorably. This happened to us on an immediate molar case. To be fair, I would have had the same issue with freehand placement. X-Guide worked fine for us on other immediate implant cases so it is case-dependent.
Endodontics
Although we did not have the opportunity to personally try this, X-Guide can be used for endodontics. It can do navigated surgery for a minimally invasive “ninja access” to a root canal system. As well as “truss access” for molar root canals. It would especially helpful for finding calcified canals where the coronal third is completely sclerosed.
What’s Next?
There are some interesting things on the horizon for the X-Guide. Namely the company says they are working on a photogrammetry like solution using the cameras in the X-Guide unit. This means that it may in the future be a useful solution for the digital impression process of full arch implant restorations.
In our opinion here are some other things we think the X-Guide could incorporate with other technologies to improve the product:
Robotics: Other systems have incorporated robot-assisted surgery such as Yomi by Neocis. This seems to be the next logical step for the X-Guide too. After all, if the entire surgery is pre-planned and approved. Why does a human have to hold the drill?
Artificial intelligence: This is an emerging area in all fields including dentistry. Companies such as Diagnocat are automating the diagnosis of CBCT X-rays using AI. They have plans to automate the treatment planning and even the treatment. Other companies like Atomica.ai are using AI for surgical guide design all done within a few clicks.
One day maybe AI will be able to diagnose, plan and carry out the placement of dental implant surgery with robotics. With human oversight, of course!
Conclusion
X-Guide by Nobel Biocare represents a very interesting niche in the field of dental implantology. On one hand I can see the many benefits of this system and there are clinicians around the world who without a doubt will love the idea of navigated surgery. The fact that you get live feedback during the entire implant surgery process is quite amazing and without a doubt improves surgical outcomes when done properly. The more information the better, after all.
However, there are some obvious things that must be taken into consideration. For one the cost. This is not a cheap device. With the price of 3D printers plummeting, it does mean that the price of the X-Guide will likely be the number one barrier for dentists interested in it. Many will be scared away by the 40k USD price tag. There are some other drawbacks in terms of the size of the unit and getting used to using it in terms of ergonomics. In saying that once we got used to it, there were obvious benefits of increased accuracy, safety and speed.
I am very excited to see what the future holds for navigated and robotic surgery.
Have any questions about the X-Guide System or Dynamic Navigation? Leave them below!
Thanks for reading.
