The digital landscape of dentistry is evolving at breakneck speed, with artificial intelligence (AI) emerging as a game-changing technology.
In our previous episode, we explored the future of 3D printing in dentistry with Amir Mansouri from SprintRay, diving into the latest innovations in materials and chairside applications. Building on this foundation, we now turn our attention to the exciting realm of AI in dentistry.
To gain a deeper understanding of this transformation, we had the privilege of speaking with Alex Sanders, the visionary founder of Diagnocat. Our conversation unveiled fascinating insights into the past, present, and future of AI in dentistry.
From Unexpected Beginnings to Dental Innovation
Alex's journey into the world of dental AI is as unconventional as it is inspiring. With a background in music and a diverse academic portfolio, Alex's entry into dentistry was serendipitous:
"The way I got into dentistry, it was just by chance. It was like a decision made over dinner with wine and crazy and beautiful ideas."
This blend of creativity and daring led Alex to develop groundbreaking facial analysis technology for dentistry in 2016, laying the foundation for Diagnocat's innovative AI solutions. His story is a testament to the power of interdisciplinary thinking in driving innovation.
Read our Diagnocat AI review, here.
The Evolution of Smile Design: From 2D to 3D
A significant portion of our discussion focused on the evolution of smile design techniques. Alex provided a compelling argument for the superiority of 3D approaches over traditional 2D methods:
"I wrote a study explaining how 3D objects moving to space and what is the most important part and aspect, how the outline of a tooth changes due to rotation to the front. A 2D smile design is a fixed outline or a fixed shape, that was created based on a picture or based on photography from a beautiful smile but this smile or this shape inchoates the frontal rotation of the canine in the shape."

This insight highlights the limitations of 2D smile design and underscores the importance of 3D technologies in capturing the true complexity of dental aesthetics and function. Alex's work in this area has been pivotal in advancing the field of digital smile design.
AI: Augmenting Dental Expertise, Not Replacing It
One of the most pressing concerns in the AI discussion is the fear of technology replacing human expertise. Alex addressed this concern head-on:
"AI is a useful tool rather than taking over dental professionals. As we see the ChatGPTs' high-performance, AI is getting smarter. For example of accounting, accountants use Microsoft Excel software, for example, for accounting work. Likewise, AI will be a powerful tool for digital dentistry in the near future."

This perspective reframes AI as a powerful tool that enhances, rather than replaces, the dentist's skills and judgment. By automating routine tasks and providing data-driven insights, AI frees up dentists to focus on the aspects of care that require human touch and expertise.
The Future of AI in Dentistry: A Holistic Approach
Looking ahead, Alex painted an exciting picture of AI's potential in dentistry. He emphasized the importance of integrating various data sources to provide comprehensive care:
"If you generally look at medical and combine those medical conditions with X-rays with intraoral scans and then really trying to predict more intelligently, what conditions and how you should treat. So I think this is super exciting."

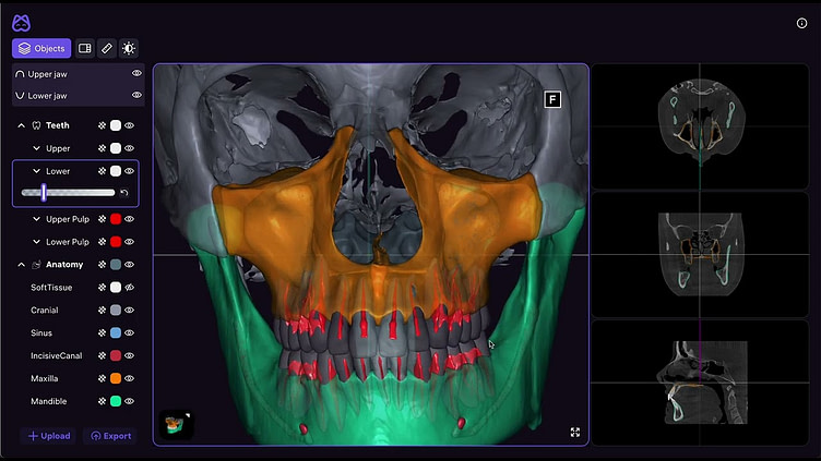
Radiolgical report from Diagnocat
This holistic approach to patient data, powered by AI, has the potential to revolutionize diagnostic accuracy, treatment planning, and patient outcomes. Alex envisions a future where AI assists in everything from automated diagnoses to predictive treatment planning.
Practical Applications and Workflow Integration
Alex also shared insights into how AI is already being integrated into dental workflows:
"We now segment the teeth automatically, and instead of using templates for the smile design... We segment and duplicate the laterals. We create them automatically in one minute as design templates and we resize them. We didn't change the smile. So the biological genetic facial harmony of the patient is exactly the same."

This example illustrates how AI can streamline complex processes, saving time while preserving the unique characteristics of each patient's smile.
Embracing the Digital Future
As our conversation drew to a close, Alex offered valuable advice for dental professionals navigating the digital landscape:
"Get started on the digital journey, right? I mean, it is unavoidable. I don't think there's a future without digitalization, whether you are a clinic or a lab, right? So get started, but also take it step by step."
This measured approach acknowledges the inevitability of digital transformation while emphasizing the importance of a thoughtful, step-by-step adoption process.
The Road Ahead
At iDD, we're tremendously excited about the possibilities AI brings to our field. While it's crucial to approach new technologies with a discerning eye, it's equally important to remain open to their transformative potential. As we continue to explore and implement AI in dentistry, we're confident that it will enhance our ability to provide exceptional care to our patients.
The integration of AI into dentistry represents more than just a technological shift; it's a new paradigm in patient care. By embracing these advancements, we can look forward to more accurate diagnoses, more efficient workflows, and ultimately, better outcomes for our patients.
Stay tuned to iDD for more insights into the rapidly evolving world of digital dentistry. We're committed to keeping you at the forefront of these exciting developments, ensuring you're well-equipped to thrive in the digital age of dentistry.
Don't forget to check out our comprehensive courses on digital dentistry to stay ahead of the curve. The future of dentistry is digital, and with AI as a powerful ally, the possibilities are truly limitless.

