Say Hello to Fast
In-clinic Production with Dental 3D Printing
What if you could quickly produce precise solutions for your patients in your clinic?
With 3D Printing, you can bring your entire workflow in-house, save money on lab bills, and open the door to same-day dentistry.
Click below to access free Dental 3D Printing resources.
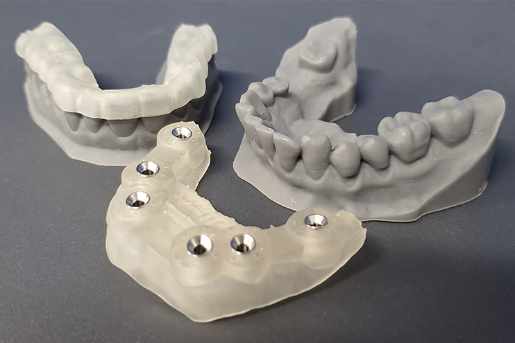
The Power of 3D Printing in Dentistry
With a 3D printer in your clinic, you can create precise dental models, surgical guides, removable appliances, and even temporary restorations with unmatched speed and accuracy.
You'll cut down on the delays and costs that come with outsourcing work, save valuable time and get more control over the production process.
You can make real-time adjustments and deliver truly personalized solutions tailored to each patient's unique needs.
3D printing is taking over dentistry. Stay competitive by offering modern solutions that your patients expect.
Benefits of 3D Printing in Dentistry
Accuracy
3D printing offers unparalleled precision, ensuring dental restorations and appliances fit perfectly, improving patient comfort and treatment outcomes.
Save On Costs
By streamlining the manufacturing process and reducing waste, 3D printing can help dental practices save on material costs and increase efficiency.
Customisation
With 3D printing, dental products can be tailored to each patient's unique oral anatomy, resulting in a more personalised and effective treatment approach.
Fast Turn-Around
Traditional manufacturing methods often involve multiple steps and outsourcing, leading to longer wait times for patients. 3D printing allows for on-site production, significantly reducing lead times.
Versatility
3D printing technology can be used to create a wide range of dental products, from simple crowns and bridges to intricate surgical guides and orthodontic appliances.
Reduced Inventory
With 3D printing, dental practices can produce products on-demand, reducing the need for extensive inventory and storage space.
50,138 Dental Professionals Choose iDD
I definitely won't forget your contribution for my future.
I just want to thank you alot because I need to learn exocad to make money and my future. Thanks for your free help in this way because I am from a country where many of the youth are jobless and our country is occupied with terrorist mullahs. I definitely won't forget your contribution for my future.
Great material. Great research.
I've been reading your website iDD for years. Great material. Great research. So impressed I'm even using you and you're iDD website in my "What I've learned" dental practice management lecture to D3/D4 dental students at Temple University School of Dentistry in Philadelphia, PA USA. When I talk about scanner and technology I cite you often.
3D Printing Workflow Guidebooks PDFs Review
very useful this guidebook ,and more learning THANK YOU Dr, iDD
40+ FREE CE/CPD Courses
iDD's Free Academy gives you the foundational insight, workflows, and resources
to build your knowledge and skills to master digital dentistry.
3D Printing & Guided Implant Surgery
Dr. Ahmad Al-Hassiny will teach you everything you need to know about 3D printing and how to implement it within your implantology workflow for a stress-free surgery with predictable results. This live webinar replay has been edited and optimised for your viewing convenience.

Whatever Your Indication
3D printing can help you bring the production of a range of indications in-house, saving you money and speeding up the treatment process.

Dental Models

Surgical Guides

Aligners & Nightguards

Crowns & Bridges

Dentures
Digital VS Analog
Digital dentistry helps you streamline workflows, reduce chair time, and provide patients with an unparalleled experience.
Digital impression systems eliminate the mess, discomfort, and inaccuracies of traditional putty impressions, allowing for precise digital models.
CAD/CAM same-day crowns cut out the need for multiple appointments and temporary restorations.
Cone beam CT imaging offers incredibly detailed 3D scans for improved diagnostic abilities and surgical planning.
From digital smile design to guided implant surgery, digital dentistry empowers your team to work with unprecedented accuracy and efficiency.

Experience faster growth in your career and accelerate your practice by utilizing digital dentistry.
Join iDD's Free Academy
Join 25,274 dentists and technicians and sign up for free to gain instant access to 40+ free resources with CE/CPD Certificates.
New Content Every Month
Downloadable
PDFs
Free
Forever
Free
CE/CPD Credits
FREE In-Depth Guides, Workflows, Reviews
Valuable insights into the digital dental space, all here for your benefit. Access all these and more in the iDD Free Academy.
Want To Dive Deeper in Dental 3D Printing?
In-depth courses to optimize and maximize return on your digital dentistry workflows.

3D Printing Course
3D printing is taking dentistry by storm.
If you are not beginning to migrate to an in-house workflow that features 3D Printing - you risk being left behind by your peers.
Learn how to adopt an in-house 3D printing workflow, to bring production inside your clinic, cut down turnaround times and reduce your reliance on external labs.

Digital Implantology Course
If you're currently practising implantology, leveraging digital techniques could be a gamechanger.
With digital implantology, you'll see shorter procedures, safer surgeries. and less stress because you'll have more predictable outcomes.

Digital Smile Design Course
Want to significantly improve your case acceptance?
Smile Design is a crucial tool in a dentist’s arsenal.
With it, you can massively increase cosmetic case acceptance, improve your treatment planning and patient communication and increase your clinic’s revenue.

Materials Processing Course
Imagine if you could process all types of CAD/CAM materials in-house and produce lab-quality finishes in less time.
Whether you are a dentist, DA or technician, learn how to process all materials including zirconia, a material that demands a deep understanding of its strengths, weaknesses, indications, and contraindications. From pre-sintering coloring to post-sintering techniques, you will gain invaluable knowledge to ensure flawless execution.
Take a comprehensive look at the diverse array of CAD/CAM materials available, their unique properties, pros and cons, and the clinical indications that govern their application.
Gain Live Hands-on Experience
Learn from masters in digital dentistry and experienced surgical dentists, in person.

Master Scanning and 3D Printing in your Dental Clinic
Master Scanning and 3D Printing in Your Clinic is for anyone who wants to get started with intraoral scanning and 3D printing but isn't sure where to begin.
Dental CE/CPD Topics
Explore resources and courses based on the topic of interest to you.














