In the world of modern dentistry, precision and detailed understanding of a patient's oral and maxillofacial structures are key to delivering effective treatment plans.
As technology continues to evolve, the use of sophisticated tools like Cone Beam Computed Tomography (CBCT) has become a standard in dental practices worldwide. CBCT, originally developed for use in dentistry in the mid-1990s, allows for accurate three-dimensional scanning of osseous or bony structures within the oral and maxillofacial region.

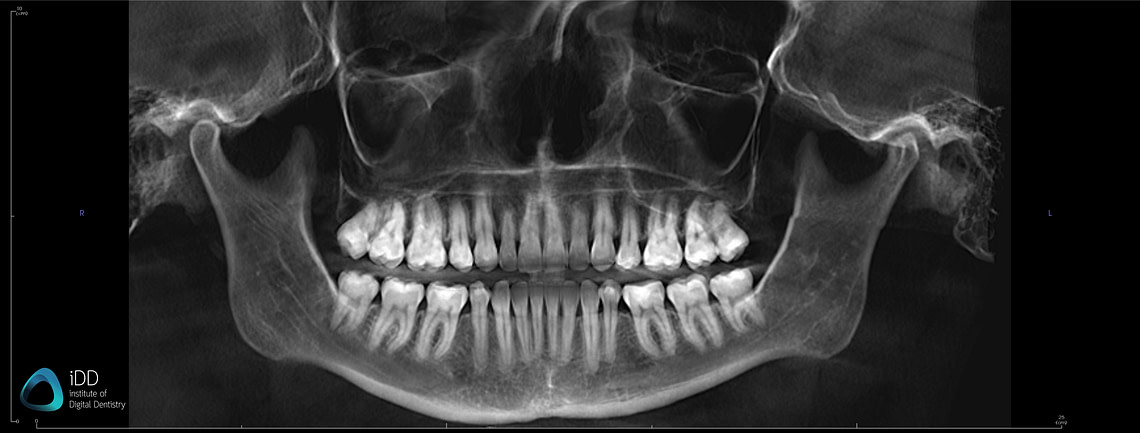
Panoramic image taken from a patient's CBCT.
These scans generate various file formats that carry a wealth of information, integral to dental diagnosis and treatment planning. In scenarios such as implant planning, endodontics, maxillofacial surgery, and orthodontics, traditional 2D images often fall short of providing the necessary depth of information. That's where CBCT comes in, filling the gap and enhancing diagnostic accuracy and precision.

Patients’ CBCT scans with intraoral scans provides adequate information for safe and functional implant placement. Software: 3Shape Implant Studio.
In this article, we take a closer look at how CBCT files contribute to dental diagnosis and treatment planning and shed light on the different file formats produced by a CBCT scan, underscoring their role in revolutionizing dental care.
CBCT Files and Dental Diagnosis & Treatment Planning
CBCT files play a significant role in dental diagnosis. As CBCT files are digital in nature, they consist of a collection of 250 to 300 2D images to create a 3D volume reconstruction of the data.
This collection of images provides comprehensive information by obtaining a 3D image of the jaw to assess bone volume, bone density, and bone quality to determine the best treatment outcome and observe the patient's prognosis over time.
CBCT files can be used for numerous dental applications:
Detection of hidden dental pathologies which may not be visible using 2D radiographs or X-rays.
Assessment of tooth and bone morphology including anatomical variations.
Evaluating periodontal and peri-implant tissues.
Identifying relationships between the dental and skeletal structures.

A full CBCT report of a patient's tooth chart. Software: Diagnocat
Based on these applications and more, dental professionals can use valuable information obtained from a patient’s CBCT file for effective treatment planning for the following treatments:
Implant Dentistry
CBCT scans enable precise implant planning by assessing bone quality and quantity, identifying vital anatomical structures (such as nerves and blood vessels), and determining the optimal implant size, angulation, and position.
Endodontics
CBCT files help in the management of complex endodontic cases, such as identifying additional canals, detecting root fractures, and assessing the root canal anatomy.
Orthodontics
CBCT scans are invaluable for orthodontic treatment planning, providing a detailed assessment of craniofacial structures, tooth eruption patterns, and airway analysis.
Oral and Maxillofacial Surgery
CBCT files facilitate surgical planning for procedures such as wisdom tooth extractions, bone grafting, orthognathic surgery, and temporomandibular joint disorder treatment.
Restorative Dentistry
CBCT scans help in planning complex restorative cases, including the evaluation of tooth and bone support, assessment of occlusal relationships, and fabrication of surgical guides for accurate prosthesis placement.
CBCT File Formats in Dentistry
Like 3D printing and CAD/CAM dentistry, CBCT scans can produce various file formats:
Digital Imaging and Communications In Medicine (DICOM)
Tagged Image File Format (TIFF)
Bitmap Image Files (BMP)
Joint Photographic Experts Group (JPEG)
Each file format serves a different purpose and has its advantages and disadvantages depending on the dental application.
DICOM (Digital Imaging and Communications in Medicine)
DICOM or DCM, Digital Imaging and Communications In Medicine file, is known to be the universal file format for 3D CBCT images, both in medical imaging and in dental CBCT. Not only does this format store image data but also relevant patient information and scan parameters for accurate diagnosis and treatment planning.
The high-quality nature of DICOM images results in the large volumes of data that this file format is known to possess. Some dental practices may not have the storage capacity or the technological infrastructure to manage these files efficiently.
Furthermore, specialized software is required to view and process such files. DICOM viewer software like exocad DentalCAD, OsiriX, and Planmeca Romexis allows dental professionals to analyze patient CBCT scans, perform measurements, manipulate the images, and generate 3D reconstructions. Although their files are more extensive than their compressed counterparts, DICOM files support lossless compression. This means the image quality of the CBCT stays the same even when the file size is reduced.
While DICOM is the standard file format used in CBCT imaging, TIFF, BMP, and JPEG formats can also be utilized in dental practice. These formats differ in terms of image quality, compression, and uses.
TIFF (Tagged Image File Format)
Another file format that can be used for CBCT scans is TIFF or Tagged Image File Format. Unlike DICOM files, it is less than ideal to use this format when managing or transferring dental CBCT data, as TIFF files are unable to support more advanced features such as 3D visualization and image manipulation. This is because they store individual 2D slices of CBCT data.
TIFF files are uncompressed, which results in their large file size being disadvantageous for file storage or sharing files. However, this file format is lossless, so they are able to retain and preserve the image data and quality.
As this file format works with 2D radiographs, it does not possess the standardized structure, nor is it capable of supporting the metadata that a DICOM file is able to. For this reason, it is a compatible format for more ‘basic’ tasks such as image processing, analysis, or printing, in which any image editing software can be used.
BMP (Bitmap Image File)
Similarly to TIFF files, BMP or Bitmap Image Files work with 2D radiographs. BMP files are uncompressed and lossless, so while the image retains its original quality, the large file size of BMP files makes it impractical and poses a challenge when storing or sharing CBCT scan data.
Any basic image editing software can be used to view and edit BMP files however its use and suitability for CBCT dental imaging is quite limited and uncommon.
JPEG (Joint Photographic Experts Group)
Lastly, Joint Photographic Experts Group, or JPEG, is the standard file format commonly used for 2D images and photographs.
Unlike the previously mentioned file formats, JPEG files use lossy compression, which may result in lower image quality when reducing the file size at the cost of discarding some of the image data. Therefore, this can be an issue in clinical applications as the CBCT scan data may introduce image artifacts and be inaccurate for patient diagnosis and treatment planning.
It is recommended that JPEG files only be used for sharing images or displaying images with patients.
Conclusion
Through the use of CBCT technology, dental professionals can effectively diagnose and plan the best possible patient treatment and care.
Understanding the various file formats used in dental CBCT imaging and familiarity with the different applications of DICOM, TIFF, BMP, and JPEG files and their advantages and disadvantages is crucial for dental professionals.
Although TIFF, BMP, and JPEG file formats can be used to store dental CBCT images, they possess limitations in comparison to DICOM files which are used as the standard file format for medical imaging.
Are you starting your digital implantology journey?
Learn the fundamentals of digital dentistry and find out about digital implantology and more with our Free Membership.
