2019 marked Carestream Dental’s introduction of their new flagship scanner, the CS 3700, only three years after the entry of their first intraoral scanner – the CS 3600. Their new scanner builds upon the success of the older model.
The IOS market has never been this busy, with many companies introducing their own contenders in the hopes that they better meet customer needs.
Currently, the market is saturated with almost 15 different scanners.
With so much competition, how does the CS 3700 IO scanner and its CS ScanFlow software compare?
Was it much of an improvement? Although the Carestream scanners have always been well-regarded for their accuracy, how does the CS 3700 perform in this ever-competitive market? Read on to find out.
We had a chance to briefly trial the the CS 3700 prototype at the 2019 International Dental Show (IDS) expo in Germany, and we shared our experience with you in our popular IDS 2019 Scanner Review.
Back then, we only had the official specifications to read, the sales rep’s pitch and models to scan.
This time, we got to properly trial the CS 3700 in our clinic, scanning many real patients and cases, which allowed us to compare this experience with other scanners we’ve been using on daily basis - namely CEREC Primescan, 3Shape Trios and Medit i500.
Disclaimer: This is an impartial review of the scanner and we do not have any ties to the company.
We are not paid for reviews. The team at iDD remain unwaveringly committed to providing you with objective and trustworthy information and therefore do not seek any sponsorship.
Carestream Dental and Ivoclar Vivadent NZ kindly loaned us a CS 3700 scanner for our testing purposes.
Our team at iDD are constantly approached by companies to review their scanners and it is always made clear that they will have no part in writing reviews or restricting any conclusions iDD makes in our thorough analysis and clinical use of these products. Enjoy the review
Background
Some of you may remember that until 2007, Carestream was actually called Kodak Health group. Yes, that Kodak that was best known for their photographic films. You might also remember that ever since late 1990’s, the Eastman Kodak Company struggled with financial issues as they failed to adapt their analogue technologies for the digital 21st century. Before they filed for bankruptcy in 2012, Kodak managed to sell their Health Group to Onex Corporation, an American-owned company. Kodak Health Group was then effectively renamed Carestream Health, often called Carestream for short.
Carestream has not only been focusing on imaging and IT, but also the research of various materials for the healthcare sector. Since the Carestream Dental branch traditionally offered various kinds of intra- and extraoral X-ray machines and intraoral cameras, development of their first intraoral scanner was the next logical step. Enter the CS 3600 and now the CS 3700.
Intraoral scanners by Carestream Dental have been well regarded for accuracy. Recently, we shared an independent in-vitro study that analysed the accuracy of 12 IOS which are currently available on the market. One of these scanners was CS 3700 and it performed very well, coming out on top as one of the most accurate scanners out of these 12 tested models. Although there are clear limitations of this study, it is interesting nevertheless. The question now is - is it enough? Does this result make the experience and the scanner’s real-life application better?


Unboxing of the CS 3700 scanner.
Review Overview
Evaluation Ratings
Scanning Speed
Scanning Flow
Scanner Size
Ease of Use
Investment Cost
Additional Features
Touch Screen
Can be used with a touch screen laptop / monitor
Wireless Scanner
Caries Detection
CAD Integration
Relies on 3rd Party Software
Subscription Requirements
CS Advantage plan included with the scanner for free
Autoclavable Tips
60 times per tip
Don't have time to read the full article?
Scanning Speed
The CS 3700 is another impressive intraoral scanner on the current competitive market. Most modern scanners are performing very well. The CS 3700 is fast, clear and easy to use. It is not the fastest on the market but does much better than its predecessor, the CS 3600. It is said to be 20% faster by the company. Back in 2019, we tested the CS 3700 prototype at IDS. We were not particularly impressed with it. We are happy to report that there have been huge improvements compared to 2019 and this is a much better product overall.
The CS 3700 can achieve full arch scans in around 60 seconds which is now becoming the market norm. I would not say it is faster than the TRIOS 4 or CEREC Primescan, but the CS 3700 definitely fits in the 'premium' niche. Anyone who is familiar with IOS scan strategy will feel familiar with using The CS 3700. It is used in a way that is similar to all other scanners on the market. It has a good focal length and is easy to use. We found that due to the scanning protocol being identical to all other scanners, using the CS 3700 was simple and intuitive.
When taking a scan using the CS 3700, the scanning aesthetic fabricated by the software initially appears cartoonish and in relatively low definition. However, after post-processing it produces some very nice realistic images.
The CS 3700 also has great A.I. built into the software and it is quick to find its place again when the scan is paused and restarted. This A.I. is particularly impressive when combining the two arches together in a bite scan, which we found the CS 3700 did very efficiently. Overall it's a smooth scanning experience.
Like all other scanners, interproximal areas typically require a few touch-ups after the main scan is done to catch all the data if needed. The software is intuitive and gives you prompts to scan specific areas that may have been missed with arrows on the models guiding your scanning direction.
One aspect we noticed when using the CS 3700, is that it seems to be much more 'sensitive' to capturing impeding soft tissues, gloves and other artefacts. Compared to other scanners we have tried, the A.I does not seem to remove the majority of these artefacts automatically during scanning. For example we found that you will need to be meticulous with retraction of the cheeks and tongue. In saying that, if the artefacts were picked up by accident, simply re-scanning the area after removing the artefact, efficiently tidied up the scan. The A.I. does a great job removing these after post-processing, but requires a correct scan to be taken first, as it does not identify artefacts automatically and remove them during the scanning process.
The CS 3700 is used without scanning powder. Scan powder is generally no longer a requirement with modern scanners. The CS 3700 does well without and we did not have an issue with shiny surfaces. Sometimes you may need multiple overlaps to collect all the information needed but this is not unusual. Overall, it performs well in this aspect and we would rate it as above average.


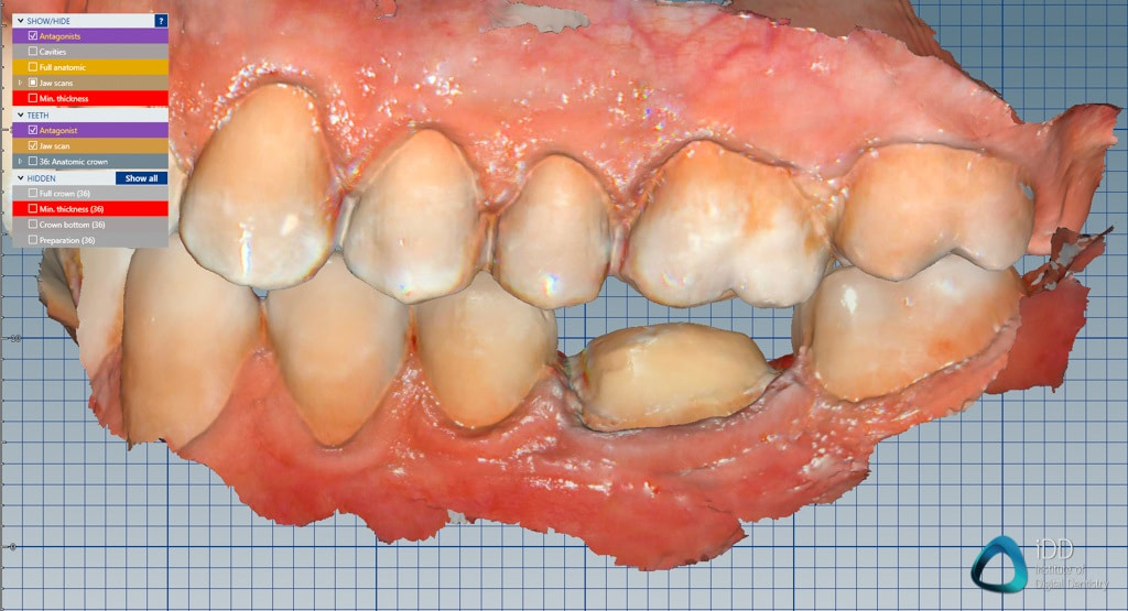
The CS 3700 uses two cameras and triangulation technology to create digital impressions.
Scanner Size & Ergonomics
The CS 3700 is lightweight, well designed and easy to use. The scanner itself is one of the smallest on the market. It comes with 3 different scanner head options: a Normal Tip (called the posterior tip), a Side Tip (rectangular field of view) and the Pediatric Tip for children, patients with limited mouth opening or TMJ issues. This Side Tip option is unique to the Carestream scanners and is not seen in any other IOS on the market.
The largest of these scanning heads is the posterior tip and it is still one of the smallest on the market. It is smaller than the TRIOS 4 and much smaller than the CEREC Primescan head. The size of the posterior scanner head is about the same size as the Medit i500. The pediatric scanning tip is slightly smaller.
The CS 3700 is weighs 316g. This is slightly heavier than the Medit i500 (280g), about the same as a CEREC Omnicam (315g) and less than the TRIOS 4 (340g), CEREC Primescan (457 - 525g) or iTero Element 5D (~500g).



Right to Left: CEREC Primescan, 3Shape TRIOS3, Medit i500, Carestream Dental CS 3700 and Planmeca Emerald.
The CS 3700 has a small size yet a relatively wide body
The CS 3700 has a very nice design. One of the selling points is that the CS 3700 was designed by studio F. A. Porsche who designs cars for Porsche. One could say that the result resembles a sturdy, practical Porsche Cayenne rather than the sleek, fun Porsche 911. A sports car manufacturer designing an IOS is an interesting concept and completely new to the market. This is something Carestream Dental have emphasized frequently in their marketing materials and at IDS, but we can’t help but wonder if dentists really care that it is made by Porsche. However, it is undoubtedly a well designed and ergonomic scanner, so the team at F. A. Porsche obviously knew what they were doing.
The build of the scanner is very solid and it feels like a premium product. The cable that is connected to the CS 3700 cannot be removed and it has a very sturdy design to prevent breakdown of the wire over time, which is something that has plagued scanners for years.
The CS 3700 scanner is a USB scanner and does not come with a cart. It is held in a pen-grip, but it is designed to be held from two different positions depending on the scanning head used. It is the only scanner that has been designed to be used in 2 orientations, side-on and a more traditional position (normal tip). In clinical use, we used the side-on orientation most often as it was the most comfortable.
When holding the CS 3700 for the first time, one thing we noticed straight away was that it is very ergonomic. The scanner is easy to hold and we didn't have any issues during long term use. It is NOT a wireless scanner.


CS 3700 with the 'Side-Tip' scanner head attached and side-on hand position.


CS 3700 with the Normal/Posterior scanner head attached and hand position.
You will notice it is quite wide in this position to grip. We found the side-on position most comfortable.
There are two buttons, both are found on the side of the scanner. One is a power on and off button. Although you would think this would also be used to start and stop the actual scanning process, it does not, it simply just turns the scanner on or off. The other button is a mode button which is used to progress through the workflow (upper scan to lower scan and then bite). A neat feature to avoid having to touch the computer. There is also an LED icon in the shape of teeth, which shows which part of the workflow you are currently on.

CS 3700 Power button, Mode button and LED indicator.

CS 3700 attached to the included wall mount shown above
One very interesting omission is the lack of a scanning button. This is something seen in every other scanner on the market. To start and stop the scan you need to mount the scanner on the included wall-mount which is built with a magnetic strip, or pick the scanner up as it can sense movement. This is similar to how the CEREC Primescan is used as it can also sense if the scanner is picked up, but the Primescan has an additional scan button in the software and on the cart itself as a foot pedal switch.
On one hand the lack of a scanning button makes the workflow seamless, because as soon as you pick up the CS 3700 it starts scanning. But on the other hand it is a frustrating oversight. If you want to quickly stop and look at the model then start the scan again, you are forced to mount and dismount the scanner from the holder. If the scan is paused to quickly modify or cut out a part of the scan, you need to mount and dismount the scanner to get it started again. Also, if you run multiple clinical rooms and want this scanner to be used in each room, you will need to have a holder for each room, or awkwardly carry it around with you. I think I would have just preferred the on/off button to start and stop the scan or at least a button in the software itself. Apart from this feature, the scanner is designed well. There are also a few additions in the box like a Carestream Dental wrist strap that can be used to avoid dropping the scanner.
As mentioned above, the scanner is plug and play, in other words you connect it to a suitable laptop/computer by USB and use it with the associated software. There are a few cables you will need to consider when setting it up. If it is attached to a laptop, the laptop will need to be plugged into a power source at all times during use. It will not run properly on the battery alone as the CPU will not be running at full capacity.
There is one cable that comes out of the scanner and this is a good length. This cable then attaches to a power source and branches into a power cable and a USB for the computer. A common problem with USB scanners is the cable management. It can look quite messy without a dedicated set-up, if it is sitting on the bench with multiple wires going to different ports. However, with a dedicated workstation and cable management this should not be a big deal. So it would be worth investing in a third party scanner cart - there are a lot of options these days.
Don't have time to read the full article?
Inbuilt Fan
The CS 3700 has an inbuilt fan in the scanner. Much like almost every scanner on the market now, this makes it easy to scan for long periods in the mouth as the fan prevents fogging of the scanner tip. This is a useful addition for the scanner.
The CS 3700 does need some warm-up time and this is not indicated by the software in any way. Most other scanners have a specific time frame or progress bar, but not with the CS 3700. You can tell if it is not warm enough as it will fog up in the mouth. We found it needed around 30-60 seconds to warm up sufficiently. If you use the scanner before warming up it will pick up images from the fogged mirror which are completely unusable. Once the scanner has heated up the mirror sufficiently, there are no issues.
Full Arch Scanning
The CS 3700 handles full arch scans well, especially in experienced hands. This was the first thing we tested when getting the scanner, and we could easily carry out full arch scans within a minute. It's success in this aspect is a combination of factors: fast and accurate scanning, picking up where you stop the scanner quickly, smart A.I., and an inbuilt fan that prevents fogging and enables long periods of uninterrupted scanning. It follows a similar scan protocol to all other scanners. The CS 3700 also performs well when scanning edentulous sites.





The CS 3700 handles full arch scanning well.
In terms of its accuracy in full-arch scanning, some research surrounding IOS accuracy has recently been released. This notably includes testing the trueness of 12 intraoral scanners in full-arch implant impressions, by Dr Mangano. This showed that the CS 3700 scored very highly. The CS range of intraoral scanners have been well-regarded in terms of accuracy for a long time. For dentate arches this is even easier and we found no issue with the accuracy of the CS 3700 for crown and bridge work or even full-arch dentistry.
Calibration-free
One thing we noticed when unboxing the CS 3700 is the lack of a calibration tool. With further investigation, we learnt that the CS 3700 and the previous CS 3600 are designed to be calibration-free scanners. All the components within the scanner are firmly fixed in between two thick metal frames. This is a unique feature of the CS 3700 that we have not seen in any other scanner. Most, if not all, other IOS require frequent calibration. It is remarkable that Carestream Dental have achieved this and still maintained a highly accurate scanner.
The manufacturer claims that unless there there is an external shock to the CS 3700 scanner, (such as dropping it) calibration is not required. In these cases a technical support person from Carestream Dental will be needed to calibrate the scanner onsite.
In saying this, there is a colour calibration tool included in the box. The CS 3700 is calibrated to provide the most reliable and stable shade matching results. The company recommends that after 50 hours of usage, the smart-calibration tool alerts the user to calibrate the scanner through a simple 12-second guided calibration process on an included grey card.


The CS 3700 Colour Calibration Tool.
Shade-matching
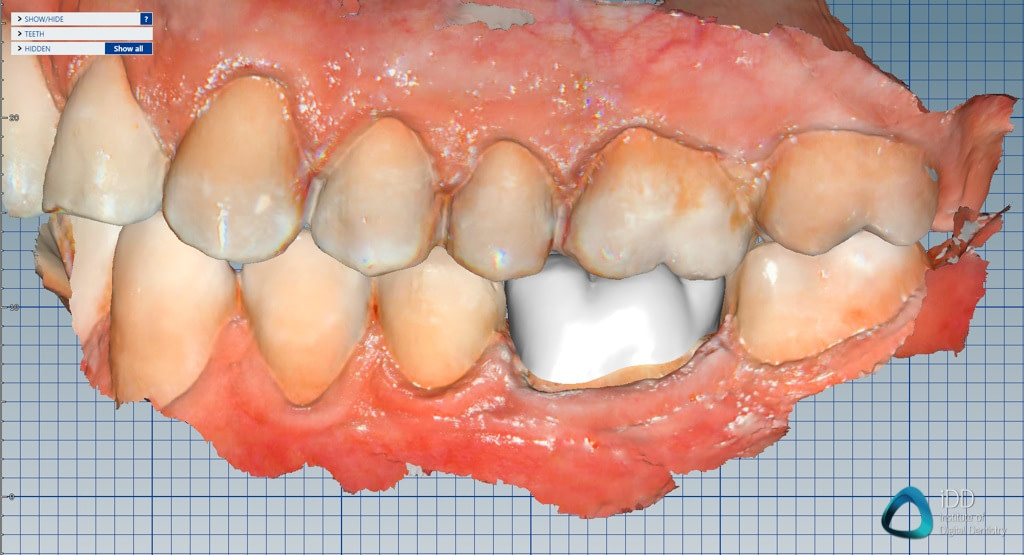
The shade-matching capabilities of the CS 3700 are impressive and this is one of the flagship features of this scanner. This is thanks to the patented Smart-Shade color matching technology which analyzes more data than other intraoral scanners and automatically detects enamel colors of the scan area to identify the ideal match.
The CS 3700 does not determine the shade from a single RGB value. Instead, it features Bidirectional Reflectance Distribution Function (BRDF), which uses triangulation to factor in both the direction of illumination and the detection, providing more true-to-life color matching.
Unlike other systems, which collect color values from a single view, the CS 3700 collects actual shade values from several views of the tooth surface, leading to a more accurate match. We found the shade-matching capabilities of the CS 3700 to be accurate. There are also some nice features like being able to take multiple shades on the same tooth and save this in the lab form. Lastly, the software also provides a smart-shade matching report if needed. This is a summary of any shades you have identified in selected areas of interest. This automatically generated shade report allows users to easily share the outcome with their dental lab.

Accurate shade matching using the CS 3700 and ScanFlow software.
CS ScanFlow
The CS ScanFlow software is the brain of the system. Carestream Dental have dedicated a lot of time and resources in developing this software over the years and it has seen some major changes. It has seen a lot of improvements compared to when we first saw it at IDS in 2019.
The CS ScanFlow software runs the scanner and enables easy exporting of scans. Unlike the Medit i500, it does not have any cloud based storage for scans and everything is stored locally or on a network. You can expect all the basic scanner software functions we have seen across the market such as analyzing occlusion or reduction space, editing scans, removing any scan data, checking for undercuts etc. You can also marginate preps for your lab and this information can be integrated with exocad.
Overall the software has a basic range of different tools available for scan analysis and manipulation. Nothing like the Medit i500, but inline with the CEREC and Planmeca range of scanners. Do not expect to see smile design or other 'patient motivating' applications here.


CS Scanflow software interface
We were also impressed with the processing times of the scans - the CS software seems to do this very efficiently, easily within 1 minute. The workflow is as such that you are never waiting around for processing either. You can complete all your scans and then once everything is finished, commence post-processing right at the end. This helps the overall workflow tremendously.
Additionally, a great feature seen in the software is the ability to put a base on your scans and make models ready for printing. The software is versatile and enables to chose 3 different types of printable model, - hollow, full or drain-able (hollow centre with drain holes). Additionally, you can easily adjust the wall thickness of the models. This is a great software function and means the CS 3700 makes it easy to take intraoral scans and create digital models efficiently ready for printing. Take note although this is a great feature, it is not unique the the Carestream Software. It is becoming more common on the market including in the Medit i500 software.

Printable model options using the CS Scanflow software.
What is unique about the CS software is the Carestream ecosystem of intraoral cameras, X-ray machines, CBCT, etc. All these files can be combined into a patient file which provides a good central hub of patient data. Overall the software works well. It does the job, it is easy to use and has a good user interface.
Keep in mind that to run the software and CS 3700 smoothly you will need good computer hardware. As is common with scanner software, these programs are very demanding. You will need to make sure you have a capable computer before purchasing. Expect to spend $3000-$4000 NZD on a computer that is good enough to run the software. Without meeting these requirements, you can expect crashes, slow scans, slow processing and blue screens.



In-house crown fabricated using CS 3700 PLY scans and exocad (not included with the scanner)
Don't have time to read the full article?
Ease of Use
As with almost every scanner on the market these days, the CS 3700 does well in making the workflow straightforward. Ease of use comes from the software that supports the hardware. The workflow is intuitive and follows a simple step by step progression, that is identical across every system on the market nowadays.
The typical workflow is as follows: filling out the patient details, scanning the preparation, scanning the opposing teeth and finally, scanning the bite. Interestingly, with the CS 3700 you can start scanning immediately and only at the end do you need to complete a lab form. This is a great feature and makes it easy and convenient to use, as you can quickly start scanning without filling out a bunch of forms before doing so.

The workflow starts here with inputting patient details.
While using the software we found some minor annoyances. You cannot easily open scans again once completed / closed. The only way to open the file again to make modifications is to import the raw data (which thankfully is automatically backed up for each case) back into the software. This involves a needless number of extra steps when, for instance, wanting to simply go back and rescan an area after a case is closed.
Furthermore, the software does not design any prosthetics nor has any design aspects. The CS Restore software seems to be a vestige that still appears in the software but is not accessible, at least not in our region. Essentially the CS 3700 is just a scanner and has no CAD design software. For those looking to carry out the entire workflow in-house, this scanner will need to be combined with exocad software. Thankfully exocad can be integrated in CS Imaging and CS ScanFlow enabling data transfer and margin lines. You will need to investigate which milling machine you would like to use with it if you are looking for a completely in-house workflow. Carestream make their own CS 3100 milling machine.


The software looks modern and simplistic.
Overall the software user interface is modern and works well. It does not do anything too special and offers the standard line-up of scan analysis tools. The Carestream Dental team also offers 24 hour phone support and we found them very pleasant to deal with. It is nice to see this level of support especially for those who may be new to the IOS market.
CS Model+
During our test of the CS 3700 scanner we also trialled the CS Model+ Version 4 Software. This software is used for orthodontic planning and simulations. It costs $3700 NZ and can be installed on 5 stations. To put it simply, we found the software to be quite complicated and for the average dentist this is not something that will likely be used. It is also funny to see that upon that says the software there is disclaimer that says this should only be used by orthodontic specialists.
Technically the CS 3700 offers orthodontic simulations but realistically it is not great for simulations and requires purchasing this additional software, which is another barrier. The software does not carry out automatic segmentation and therefore before even getting a simulation you need to spend a bit of time working through the orthodontic process in the software. The simulations that result look very unappealing. With the likes of Invisalign and the 20+ other aligner companies out there that provide simulations, there is no point in using this. If Carestream Dental is serious about developing this and not letting it die like CS Restore, they need to develop it to be far better than it is, by at least incorporating the beautiful colors created by the scanner itself into the simulations.
What the Model+ software does do well is the integration of the digital workflow. Carestream have developed a complete solution with dental practice management software and integrating CS Imaging. This means all devices such as CBCT, Pano, Ceph, IOS, can all be centralized in one place including all images like Face Scans, PDF, JPGs, Movies, etc.
The Model+ software may find use in orthodontic clinics but it does not create quick and easy orthodontic simulations like the TRIOS or iTero scanners. Therefore for quick and easy patient motivating simulations, you will not find them here. The simulations that are produced can be exported as pictures or a video for the patient and shared in an email.


The CS Model+ software has potential but it is not particularly easy to use.
Open or Closed Architecture
The CS 3700 system is completely open. The software enables easy exporting of scans in multiple different formats. This includes the popular STL file type but also OBJ, PLY, DentalProject for exocad or Xorder Dental Wings. Note that many other scanners only allow STL export, notably the CEREC Primescan.
You are likely to primarily use STL, as this is the most widely accepted scanning format across labs and most software. One key distinction to make is that the STL file is NOT a colour file. Although the CS 3700 scans in colour, when exporting in STL and opening in a design software you will be designing on a monochrome model (which means that ultimately there is no point having a colour scanner from the CAD/CAM point of view). OBJ and PLY files are much better.
The other export formats (PLY and OBJ) provide full-colour models; however, not all software or labs can import this. For instance, the CEREC InLab software does not allow importing of these file types and relies on STL, whereas exocad allows importing of all of these files.
Scans are not stored on a cloud as seen for example in the Medit Link software, but rather are stored locally either on the computer you are using or on your practice/lab network. Scans can be sent to labs through the CS Connect software.
CS Connect
CS Connect is the online portal that enables digital transfer of your scans/datasets to labs or referrals. It is integrated with CS Scanflow eliminating the need to send scans via email or file transfer applications. Data can be uploaded to CS Connect and viewed anytime, but only lasts for 14 days.
It can be launched via any PC in the practice to send data to a lab via a secured cloud compliant with the General Data Protection Regulation (GDPR). You can add as many labs as you want without any additional cost. CS Connect also includes a webviewer which is accessible from mobile, tablet or any PC. CS Connect allows you to download digital impressions in your preferred format including STL, PLY, OBJ, XOrder for DWOS and Dentalproject for exocad.
Invisalign users: for those of you who provide Invisalign treatment for their patients, a crucial thing to realise is that Align will NOT accept CS 3700 scans for Invisalign treatment. This is the case for for all new scanners now on the market and seems to be in effort to promote their own iTero scanner. This is no reflection of the CS 3700 itself.
Cost
The Carestream 3700 is a middle-tier scanner in terms of cost. Not as cheap as the Medit i500 for example but not as expensive as the TRIOS 4 or CEREC Primescan. It is one of the more affordable intraoral scanners on the market. The cost of the CS 3700 is $47,000 NZD or approximately $32,000 USD. Almost double a Medit i500.
When comparing to other popular scanners on the market, these tend to range from $18,000 - $70,000 USD depending on what generation scanner you purchase.
An on-going cost is the scanning heads. The CS 3700 has removable and autoclavable scanning heads which provide ideal cross-infection control. This feature has become the norm across the entire IOS market. The CS 3700 autoclavable scanning heads have a limit of 60 cycles after which they begin to warp and will need to be replaced. Here in New Zealand we pay $504 NZD for a pack of 5 scanner heads, in other words around $100 per scanner head, or roughly $1.70 per scan.
The CS 3700 also comes with the CS Advantage plan at no extra cost. More on that below.
Yearly Fees / Subscription (Price in NZD)
The CS 3700 has no yearly fees or subscription costs.
This is becoming increasingly common in the IOS market and it is great to see this is the case here too. The CS 3700 does not have a cloud storage service like the Medit i500, so there are no costs in that regard either. Much like most scanners, the CS 3700 has a warranty and parts service called CS Advantage. When purchasing a CS 3700 you get 5 years of this plan at no additional cost.
The CS Advantage plan includes a 5 year warranty, 24 hour access to support, and software updates for 5 years. In the older generation CS 3600, the CS Advantage plan was a recommended but not mandatory add-on. It costs $6,400 NZD per year and it's nice to see that the CS 37000 comes with this included. No subscription costs make dentists happy.
Review Summary

In this in-depth review of the the Carestream Dental CS 3700 scanner we have focused on the clinical aspects rather than technical specifications. Overall the CS 3700 impressed us. After using the prototype in 2019, we were not expecting it to perform as well as it did. The CS 3700 is a healthy competitor in the market and is a great scanner. This is a breath of fresh air from the cheap scanners that are flooding the market with poor build and questionable accuracy. The CS 3700 is also backed up by research that continues to prove its amazing accuracy. The scanner does a lot right and the shade-matching capabilities are the arguably best on the market.
We did have some minor annoyances with certain parts of the scanner, and these mainly revolved around quality of life issues like having to use the mounted dock to simply turn the scanner on and off. Although the software works well, looks modern and is easy to use, the software tools are quite basic for 2020. We are currently finding more and more scanners introducing various different applications such as caries detection, smile design and selective colour blocking - to name just a few - and these are not found here. Although the CS 3700 does have orthodontic simulations if you purchase the Model+ software, this was average at best and the orthodontic simulations alone are not something we would recommend purchasing the software for.
As a stand-alone scanner option, we can see the clear merits of the CS 3700 when compared to other scanners particularly in terms of accuracy. The main issue is it isn't clear what part of the market this scanner is targeting. Those who have deep wallets will likely go for the expensive CEREC Primescan or TRIOS 4 and those who want to spend the smallest amount possible will likely go for the widely popular Medit i500. As the CS 3700 is a scanner only product with no CAD software it is competing with the likes of Medit i500, and TRIOS 3 Basic which are all have lower price points.
Also bear in mind that other competitors such as CEREC and TRIOS offer a lot in terms of the in-house workflow and design software. You will need to carefully consider whether you plan on doing work in-house using the Carestream, as this will require a 3rd party design software (such as exocad) and a milling machine. This by no means is an issue in itself as we tried and tested it with different mills and using exocad, but it does mean it can feel piecemeal as you try to get all the parts working together.
It is also important to remember that other scanner systems come with complete design ecosystems such as TRIOS, which enables designing everything from crowns, bridges, implants, surgical guides, bite splints and even aligners. This is not something the Carestream alone provides.
The Carestream Dental CS 3700 is an accurate scanner that is priced in the mid-range of the market. Whether or not the price is justified nowadays in a market of much cheaper scanners will be a question all potential buyers will need to consider.
If there is anything we did not cover, or if you have a question, please leave a comment below.


The system is glitchy. It works sometimes but not all the time. Every time Microsoft upgrades its program, the CareStream defaults are changed and we either have to call CareStream or our tech person. Inconvenient and unnecessary.
Thanks for the comment Gerald. Sorry to hear you are having these issues.
Hi Dr. Ahmed
Thank you for such in-depth reviews of the scanners.
Can you tell me which is a better scanner for subgingival preparations? the Carestream CS 3700 or medit I 700?
Can you also tell me if I do a cbct scan with a Carestream cbct , will I be able to overlay the soft tissue over the cbct with medit scanner?
Thanks
Vamsi
Hey Vamsi,
Thanks for the kind words. My pleasure.
Regarding subgingival preps – there is no ‘better’ scanner for these preps. All scanners will only be able to capture what they can ‘see’. It is all about soft tissue and fluid control (blood and crevicular) rather than which scanner does it better. It doesn’t make a difference which one you use for deep preps.
Depends on the software you are using. If you are using implant software – yes, easily. Medit exports STL/PLY and OBJ and the CBCT will export DICOM. These files can all be merged in implant software.
If you are talking about merging it in the Medit software, it is a little more tricky as you cannot directly import DICOM into there, the CBCT will need to be converted to STL first. Many different ways of doing that.
I hope that helps.
I've had a lot of problems with the CS3700 in everyday use & now Carestream have sold out to Dexis/Envista. Definitely NOT recommended…
Thanks for the reviews. If you had to choose between the Medit i700 and the CS 3700, which you go for? I don't plan on doing in-house milling. I'd like to use the scanner to scan for crown and bridge preps, implant crowns, ortho retainers, occlusal guards, and dentures/partials. I used Carestream's practice software in my office currently. Thanks for your help.
Hey Ryder
Thanks for the question. Both are decent scanners. I would personally go for a Medit i700 for one simple reason – the software is one of the best on the market.
Both could achieve what you are looking to do but in my experience, Medit i700 would be my choice.
Good luck.