In October 2021, 3Shape released its Unite Platform. This new open platform aims to bring together world-leading dental companies, solutions, and labs, enabling dentists to manage their cases with more choice and easier workflows.
In brief, this platform did two things.
- 1Completely reimagined the 3Shape User-Interface and improved many aspects when using TRIOS scanners
- 2Released an App Store where you can download and use hundreds of applications made by 3Shape themselves but also other companies or dental labs.
This new platform is available globally and included free with every TRIOS scanner, and for existing users, it is a free upgrade. However, it isn't all just for dentists, as the Unite Platform also enables dental labs to make a profile of themselves on the Unite App Store, so they are visible to the thousands of TRIOS users across the globe.

Background on 3Shape and the Unite Platform
3Shape is on a mission to 'change dentistry together' with dental professionals globally by developing innovations that provide superior dental care for patients. 3Shape's solution portfolio includes the 3Shape TRIOS intraoral scanners and dental lab scanners, design services, and market-leading scanning and design software solutions for both dental practices and labs.
They employ over 1900 employees to serve customers in over 100 countries from 3Shape offices worldwide. In the spirit of the name 'Unite', 3Shape teamed up with industry leaders, Henry Schein, Ivoclar Vivadent, and the Straumann Group, to launch the platform.
The partnership enables 3Shape Unite users to have direct access (with optimized integrations) to Henry Schein's Practice Management Systems, clear aligners, implants, and restorative solutions.; Ivoclar Vivadent's dental applications for both dentists and dental technicians, and the Straumann Group's clear aligner, implant, prosthetic solutions, and services.
For dental laboratories, 3Shape Unite provides a platform and directory for them to become more visible to dental practices, market their services with a profile they create, and take advantage of an optimized order workflow with practices.

What's the point of this new platform?
Digitalization in clinics is accelerating at a rapid pace. There is a massive influx of new digital tools and workflows in the clinic. However, the issue is they are all unconnected, making it harder to use them all seamlessly.
This is what 3Shape Unite is trying to solve - it connects practice management systems, scanners, thousands of labs, leading dental companies, clear aligner manufacturers, 3Shape apps, and other companies all in one software.
Anyone who has dived into digital dentistry knows the common issue currently, which is you are often dealing with multiple different treatment partners, dental labs, and technologies. A lot of time is spent transferring data or making all these various factors simply work together. This includes using cloud storage, email, WhatsApp, and sometimes text messages. There is no unified software or platform to house and transfer this large amount of patient data in a user-friendly way.
For the dentist it's all about making a platform that is easy to use and navigate. And to improve the patient experience by being able to use/order anything you need all from one platform, helping improve the efficiency of the entire process.
For labs - it will make their life easier as all the patient information and digital records will be gathered in one place, accessible from anywhere.
So that's the idea, let us go over the new changes and review the 3Shape Unite Platform.
User-Interface Improvements
With the release of 3Shape Unite came an entirely new user interface for TRIOS scanners, which is much more intuitive and user-friendly. This new UI is also optimized for touch screens such as the TRIOS MOVE.
The most significant change TRIOS users will notice is when opening a patient file or what the company calls 'Patient Library'. This is similar to a virtual patient in which all scans, data and even photographs are stored. This is presented in a much more modern and clean way and is one of my favorite platform improvements.

The 'Virtual Patient' file in the 3Shape Unite platform.
Starting a case has also been improved with a more logical user journey. When you click start case, you are prompted to select a lab or one of the many 3Shape apps like Smile Design, Treatment Simulator etc. Many aspects of the old 3Shape UI were annoying, such as the lab order form. It felt convoluted and unnecessarily repetitive. This has also been rethought from the ground up, and I like the changes.
You are presented with a more logical workflow now. Indications are presented first in a simple and easy-to-understand manner - Single Unit, Bridge, Removable, Appliance, or Implant options. After selecting your indication, you pick the tooth/arch and then the restoration type, material, and shade. All the menus are well done, and the options are very straightforward, for instance, starting a case for a digital denture or splint.


The workflow of the lab form has been rethought and is more streamlined.
Then there are the more minor but appreciated changes like that the patient list on the TRIOS scanners is automatically hidden and will only show if a "Show all patients" tab is toggled. This is a nice change as it is awkward to start a case in front of a patient and have them looking at your entire patient list.
The UI has an intuitive interface, improved progress tracking, and a simplified lab order form with built-in chat with your lab. Apart from that, the Unit Platform still retains the same 3Shape feel. This is an upgrade rather than a complete overhaul of the user interface. Certainly an appreciated change.


3Shape TRIOS UI before and after (3Shape Unite)
Unite App Store
Cleaner menus and modern UI is nice and all, but the real flagship feature of the Unite Platform is the App Store. This is a completely open system.
The built-in Unite Store lets you find your lab of choice with ease, or you can choose to collaborate with one of our trusted treatment providers or design services. You can also access the 3Shape apps for patient engagement or in-house design.
With full integration between TRIOS and all partner apps, there is no more need to switch platforms during the workflow. For example, when ordering ClearCorrect aligners, this can now all be done within the app, rather than switching to the ClearCorrect website and uploading scans.
The Unite Store UI is clean, sleek, and works well for its purpose. It is easy to find what you are looking for or even search by geography. There are no qualms with how the store itself works. We are surprised that we haven't encountered any significant bugs yet, so it feels like a well-tested release.
The one thing that will make or break this platform is the app offerings. Like any app store, it relies on quality apps being released exclusively on the store to be a marketing edge for 3Shape. Currently, there are 1000's Unite Store Apps, but most of these are labs profiles. The apps themselves that are used to improve workflows are somewhat limited, and much of what we have already seen - IvoSmile etc.
It is early days for the Unite Store, and we are excited about the potential this can have. If third-party companies truly take this onboard and create unique, game-changing apps for dentists, then it could be one of the best things to happen to digital dentistry.

The 3Shape Unite Store
3Shape Apps
In the Unite Store, you can also find several 3Shape Apps. These are a range of education and communication tools, including Patient Monitoring, Smile Design, Orthodontic Simulator, and most recently, a Model Builder.
These applications are all seamless and well incorporated in the Unite Platform. There are also some exciting apps in the pipeline that will utilize the 3Shape Automate cloud AI.
For now, we will discuss the currently released 3Shape Apps below.

The 3Shape Apps can be easily found and downloaded on the Unite Store

3Shape Apps can now be started as soon as a case is opened. Rather than going through the lab form.
3Shape Model Maker
Finally, 3Shape TRIOS users get a Model Maker. Something that was included first in an intraoral scanner software by Carestream Dental scanners and then widely popularized by Medit software is now seen in TRIOS scanner software as well.
The good news is that 3Shape has added their own spin on Model Maker rather than just a half-baked addition.
The software app automatically converts digital impressions to dental models. 3Shape Model Builder works uniquely in that there is absolutely no manual work. The algorithm used makes it a fully automated workflow requiring zero input from the user. You just need to initiate the workflow with an upper and lower scan.
The interesting thing about the 3Shape Model Maker is that it uses an AI-powered algorithm in the 3Shape cloud. This algorithm converts TRIOS scans to .STL files which can then be exported and produced. This all happens within a click or two.
Generating a model takes 1-2 minutes but can be longer depending on factors, including your local internet speed. While waiting to receive a model, you can exit the workflow and work on other cases.
The 3D printable model is made hollow to optimize printing resin and has ‘bevels’ added to the model base to ensure that models can be removed easily from the build platform of most standard 3D printers. The bevels option is a nice and unique addition. 3Shape Model Maker is only available from the 3Shape Unite platform.
The benefits of the 3Shape Model Maker compared to other apps on the market are that it is the only fully automated model builder app on the market. It is impressive that the entire process is literally AI-driven, and the AI does a good job.
The downside of this is that you do not get to choose options such as if the model has a solid base or not etc. It is always the same type of model. The one other downside is that the models have to be exported outside of the 3Shape Unite app and onto a USB / local hard drive once made. I think it would have been better to be able to save the models into the Unite Platform itself.


3Shape Model Builder is completely automated using AI. You literally dont do anything except start the process.
3Shape Patient Monitoring
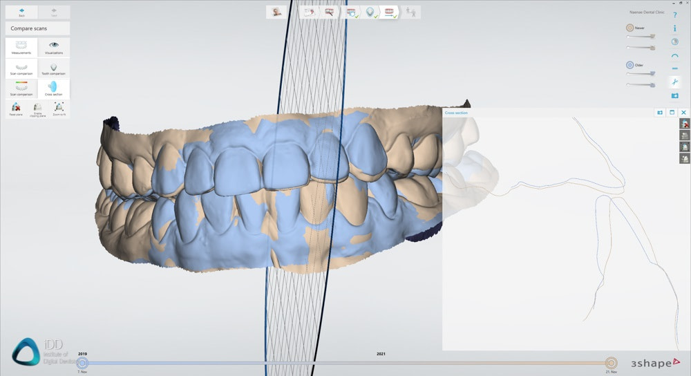
Patient monitoring is a feature that is becoming more common with higher-end scanners. Essentially it allows you to compare two or more scans taken at different times and visualize the changes in the scans.
In other words, one use of this app is to scan a patient at different appointment intervals to track changes in their teeth accurately. This provides two significant benefits; the first is patient engagement and education. Sharing visual information like this with patients over time is invaluable to aid their understanding of the issues and improve treatment acceptance. Secondly, this aids in the early identification of dental conditions. For example, patient monitoring can be combined with caries detection in the TRIOS 4. This provides an objective and easy way of monitoring various dental issues. Patient monitoring can also be used for a number of different indications depending on your needs - ranging from monitoring bruxism to monitoring orthodontic treatment.
The 3Shape Patient Monitoring app works well and has various tools. First, you choose your data sets which are automatically pooled from your chosen patient file. Then the software automatically segments the teeth and will present you with a range of analysis and visualization tools. Cross-sections can be taken, and also a simulation (video) tool exists which can be played to show tooth movement in real-time (similar to playing a ClinCheck Simulation, for example).




Using 3Shape Patient Monitoring to review data sets from 2019 to 2021
3Shape Treatment Simulator
The 3Shape Treatment Simulator app is the 3Shape equivalent of the iTero Outcome Simulator. This is an orthodontic treatment simulation tool. The TRIOS Treatment Simulator automatically generates a simulated result of the orthodontic treatment after scanning the patient side-by-side with their current dentition. This visual communication app can effectively show a patient their dentition and the expected results of orthodontic treatment in a before-and-after fashion. In addition, this can be used with Ivoclar's IvoSmile Orthodontics app (which can also be found on the 3Shape Unite Store) to create an augmented 3D visualization.
3Shape Treatment Simulator works well for a free app, but it is not mind-blowingly good. It is average for an orthodontic simulator these days. What it does well is the automation side. Teeth are automatically segmented accurately. The issue is that the presented orthodontic simulation usually needs some work to make it an excellent result to show the patient. The simulated tooth movements by the AI are not very good in the first proposal. This app could be used to educate patients on orthodontics, but it is not as good as the iTero Outcome Simulator in terms of actual results.


3Shape Treatment Simulator is a good communication tool but the simulations dont quite hit the mark...
3Shape Smile Design
For those who don't know, digital Smile Design is a method of overlaying a smile simulation on a patient's full face picture. Unlike the Outcome Simulator, 3Shape Smile Design is an amazing software app. Using the 3Shape Smile Design, you can design a patient's new smile in just a few minutes, based on a photo of your patient's face. Note: This requires full-face images to be taken with a camera (not a TRIOS scanner), and these images must then be uploaded to the TRIOS software.
With the Smile Design app, you can show patients their future smiles and simulate the potential outcome of treatment. The 3Shape software makes this quite a simple process, and it is very intuitive. The photo-realistic smile simulation is an excellent patient motivation tool and, in our experience, increases acceptance of cosmetic cases.
What we like about Smile Design software is how aesthetic the simulations are. There are over 20 smile design software on the market now, and many of them create weird simulations. Not attractive or presentable to patients, to be honest. This is not the case here. The simulations with the 3Shape Smile Design app look great and realistic. It is not a fully automated process, but it is easy to do.


3Shape Smile Design is one of the best 3Shape Apps and the simulations look great.
3Shape Unite for Labs
3Shape Unite also comes with advantages for dental labs. It is a platform similar to 3Shape Communicate but with better case communication and where your lab services are visible to TRIOS users around the globe. This includes tens of thousands of users in the world.
The neat thing about 3Shape Unite is that each lab can create a tailored store profile to promote their business. You make your lab instantly searchable in the Unite Store by building a lab profile. Clinics will easily find your lab on the Unite Store, and your presence on Unite ensures easy communication for design, production, and order tracking of treatments. Additionally, labs can also make customized order forms for their customers based on their offerings.
Receiving case files is no longer fragmented, and there is no more need to switch platforms due to separate workflows. 3Shape Unite offers a new communication workflow with the direct chat box that both dentists and labs can utilize.
The best part of this is that it is free to have a store profile. Anyone with a 3Shape Communicate account can create one.

An example of a Lab Profile on the Unite Store.
Review Summary
Overall the 3Shape Unite app is promising, and it's nice to see a dental company innovate in the digital dentistry space instead of releasing yet another fast scanner. A lot of the benefits of 3Shape Unite will be for TRIOS users, with a vastly better UI and workflow. It makes the 3Shape TRIOS experience even better and more streamlined. A welcomed change and a nice one at that.
The main drawcard of the Unite platform is the App Store. It works well, but like any app store, it will rely on the release of innovative and exciting apps to remain relevant. Currently, the best apps on the Unite Store are the 3Shape ones, and these are all the Excitement Apps we have seen before, with the addition of a new Model Builder.
The Unite Store has the potential to be a huge marketing edge for 3Shape TRIOS, but it needs more unique offerings. There is no single app on the Unite Store that is entirely game-changing, but it is the entire collection that may attract users. Who knows what the future holds? It will be very interesting to see how the Unite Store grows and develops over time. I hope to see other founders of the Unite Platform, such as Henry Schein, Ivoclar, and Straumann, pull their weight a bit and release some innovative apps - a dental implant education/simulation app, anyone?
3Shape Unite also offers a much more streamlined and effective workflow for dental labs, with better communication via an inbuilt chat box. More interestingly, any dental lab with a 3Shape Communicate account can make a free lab profile that is instantly shown on the Unite Store. Free marketing to the tens of thousands of global TRIOS users.
It will be interesting to see how 3Shape evolves and utilizes this platform over time. Overall, 3Shape Unite is a nice upgrade for the TRIOS UI and 3Shape ecosystem.
What are your thoughts? Leave a comment below.

