Are you confused about which CAD/CAM material to use for each specific indication? What about tooth preparation and how to do this conservatively for modern dental CAD/CAM ceramics? 
In this article you will learn the fundamentals of modern dental ceramic materials and what a modern prep should look like in order to make these restorations predictable and long-lasting.
Modern Dental Ceramics
Porcelain-fused-to-metal (PFM) restorations used to be (and in many places still are) regarded as an aesthetic solution. Many years ago the only other permanent solution was often a full-gold crown. The biggest aesthetic obstacle with PFM’s is the metal’s opacity; unlike translucent teeth, light won’t pass through it which often results in a fake-looking, “dead” crown.
Since those days there has been a huge increase in the use of monolithic high strength, and highly aesthetic ceramic materials. Zirconia for example has grown widely in popularity in the past few years. Although it’s referred to as ceramic, it’s technically also a metal. Unlike other ceramic materials, it’s much stronger but similar to metals, it lacks translucency and therefore often requires to be layered with porcelain, especially in the anterior segments of the arch. 
Advancements in zirconia science are being made every year and its translucency is improving. Nowadays, ultra-high translucency zirconia materials are available and are similar to low translucency e.max. These super translucent zirconia materials, similar to other ceramics, are not suitable for posterior bridges due to their decreased flexural strength.
IPS e.max is another widely popular ceramic and has revolutionized the use of monolithic materials in dental practice. Thanks to its relatively high strength and great aesthetics, it can be used for almost all restorations except for posterior bridges. e.max comes in a range of different shades and translucency options. High translucency (HT) e.max has aesthetic properties close to natural-looking tooth translucency. For these reasons silicate-based ceramics have gained massive popularity for their use in the anterior region, and in dentistry in general.
Other materials, like high glass ceramics (IPS Empress, VITA Mark II) are even more translucent and aesthetic, but are also much more fragile, even when compared to silicate ceramics. They are still often used for anterior restorations, but have lost favor in the posterior segments due to the rise of more forgiving materials like e.max.
All of these ceramic materials – lithium (di)silicate, high glass and hybrid ceramics (Enamic, Cerasmart etc.) – are unsuitable for posterior bridges. Stick to zirconia for this indication. Furthermore, using hybrid ceramics for even a single posterior crown is questionable due to their previous history of debonding (e.g. Lava Ultimate).
Click on the images above to view our online courses and learn more about modern ceramic materials, their physical and optical properties and application.
All-Ceramic Restorations
All-ceramic restorations include both, monolithic or layered with porcelain. For layered restorations, zirconia is often used as a coping, similar to metal alloys. This is especially useful when a dark tooth color needs to be blocked out. Ceramic restorations can also be partially layered with more translucent porcelain, usually on the buccal aspect.
Many studies suggest that porcelain fused to ceramic materials tend to chip more than PFM. The rate of fracture for PFM restorations has been shown to be 4% over 10 years, while this value is higher for porcelain-veneered zirconia restorations – between 6-15% over a 3 to 5-year period (Augstin-Panadero R, 2012). Keep in mind that avoiding thin veneering helps minimize the risk of chipping significantly.
Porcelain layering is an acquired skill, and is both talent-demanding and too time-consuming to do in a typical dental office environment. Fortunately, modern ceramics don’t rely on layering anymore to achieve an aesthetic result, especially in the case of posterior restorations. 
With a good CAD design, appropriate material choice, correct processing (staining and glazing / polishing), and practice, you can achieve very natural and aesthetic results chair-side. After all, it’s the relative ease of processing that made chairside CAD/CAM systems and same-day crowns possible and widely popular.
If you want to make a crown truly monolithic, you might consider polishing instead of staining and glazing. This requires some time and experience to get it right. It won’t be as aesthetic as a stained restoration, but you can avoid dealing with the risk of glaze chipping in the future. 
If you’re considering or are already producing e.max crowns in your dental practice, glazing might be a better choice as you already own the equipment necessary to do so – a furnace used for crystallization can be used for firing the glaze as well, even in the same crystallization step. 
If you want to learn more about ceramics processing from start to finish, check out our online video courses on material processing.
Modern tooth preparation for all-ceramic restorations
As explained above, PFM’s have been the industry standard for aesthetic prosthetics for a very long time prior to the rise of monolithic ceramics. To make them as aesthetic as possible a metal coping is covered in porcelain. This requires lot of occlusal and (at least) buccal reduction in order to make enough room for metal core, opaquer to block out metal’s color and subsequent porcelain which is applied in layers, each having different optical properties.
Monolithic restorations require enough reduction for just one material, the ceramic itself. In addition, with no metal collar in sight, the finishing line can be left supragingival and thus restorations can blend in nicely, especially when used in posterior teeth. Keep in mind that in the anterior region and more aesthetically-demanding cases, it’s still desirable to bring the margin line down to the gum line. Generally speaking, the tooth reduction necessary for accommodating these restorations is often quite conservative and much more conservative compared to PFM.

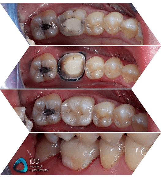
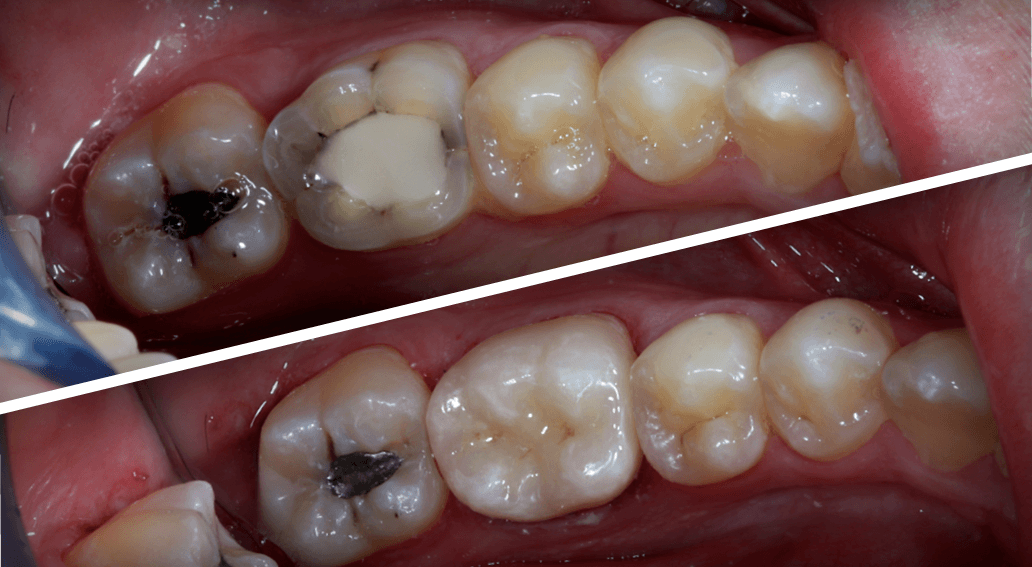
This seamless incorporation of a ceramic crown into remaining dentition was possible thanks to choosing a lithium disilicate block of correct value and hue and surface characterization prior crystallization. Take note of the high margin line.
The finishing line of a restoration should be done in a specific manner to ensure that the material’s minimum thickness requirements are met. This is something you most likely wouldn’t think about before purchasing your first CAD/CAM system. If the minimum thickness is not respected you will find a increased risk of margin chipping, or more commonly, when designing, the software will enforce the minimal thickness in order to ensure predictable milling and a long-lasting restoration. This can lead to poor emergence profiles.
Insufficient tooth reduction on buccal, lingual and interproximal sides will result in a bulky, overhanging restoration that’s not only unaesthetic, but also unhygienic. Although many ceramic materials have been shown to be usable at a minimum thickness a low as 0.6 mm, occlusal reduction less than 1 mm doesn’t allow for enough morphology, so your crown might be rather flat and unnatural looking.
Learn more about modern tooth preparation in our online courses.
Conclusion
Modern ceramic materials are revolutionizing modern dental prosthodontics. They are available in various shades, strengths, translucency and opacity levels and for a chairside CAD/CAM production. Furthermore, monolithic prosthetics can become very aesthetic by careful and precise staining and glazing. As long as certain indications are met, porcelain veneering is not always necessary to make natural looking and aesthetic restorations. An added bonus is that modern dental ceramics in their monolithic form are very conservative and don’t require as much reduction as PFM restorations might need in order to achieve comparable aesthetic results. 
References and further reading
Augstin-Panadero R, Fons-Font A, Roman-Rodriguez JL, Granell-Ruiz M, del Rio-Highsmith J, Sola-Ruiz MF. Zirconia versus metal: a preliminary comparative analysis of ceramic veneer behavior. Int J Prosthodont. 2012;25(3):294‐300.


 


