Among the leading brand names of intraoral scanners (IOS), 3Shape TRIOS scanners have consistently been at the forefront of digital dental impressions, delivering a seamless blend of efficiency, accuracy, and patient comfort.
Over the years, the 3Shape has released several versions, with TRIOS 3, TRIOS 4, and TRIOS 5 emerging as game-changers, although TRIOS 4 had just minor improvements in regards to hardware compared to its predecessor the TRIOS 3. Each of these models brings unique features and benefits. But how do they stack up against each other?
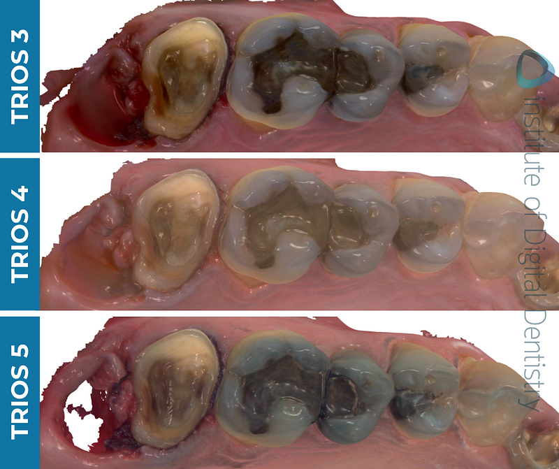
In this iDD Compares post, Dr Ahmad Al-Hassiny scanned the same crown preparation and a fresh extraction site next to it, with the following TRIOS scanners:

TRIOS 3, TRIOS 4, and TRIOS 5 by 3Shape.
How do they scan?
I have been using TRIOS 3 for close to 6 years in my practice and it is still an excellent scanner. I can easily achieve 35-45 second full arch scans with it. It has aged gracefully over the years and it is still routinely used in my practice especially for invisalign cases (more on that below).
When I scanned with TRIOS 3, 4 and 5, there was not a significant difference in my speed or user-experience. All scanners use the same software, which is also excellent and works well, and they all overall give the same 'TRIOS' feeling. Which is different when comparing them to another brand for example.
TRIOS 3 and 4 basically feel the same (because they have the same scanning architecture) but TRIOS 5 does have a slightly different feel. The scanner sounds different when scanning (mechanically not the sound from the computer), the technology in it is different, and it does seem to capture a lot more images per second. It is also a lot more lightweight and ergonomic than the TRIOS 3 or 4 wireless. It also has haptics and visual feedback of scanning via the LED ring. 'ScanAssist' built into the TRIOS 5 did seem to help prevent stitching errors especially in the incisal region. However these can also be prevented with correct scan strategy with any scanner.
Each one of these scanners are enjoyable to use and I felt they all performed very well when scanning on a daily basis.
Individual Scans in their Native Software - 3Shape TRIOS
The scanning protocol when using TRIOS scanners is essentially identical to all other scanners on the market, with only a few scanners requiring a different scanning strategy. The TRIOS software produces realistic color and high-definition results.
Below you can see the scans both in color and monochrome as previewed in 3Shape’s native TRIOS software, which should give a clear indication of how these scanners capture colors and textures.
The color rendering helps identify the margin whereas the monochrome rendering is used to assess the quality of the captured scans, specifically the margin prep.
Overall they all look great. No major differences. If anything TRIOS 5 does give off a more high-definition or sharp appearance in colour mode.


The processed color scans of the same tooth preparation were captured using TRIOS 3, TRIOS 4, and TRIOS 5 intraoral scanners, as previewed in 3Shape’s TRIOS software.
As you can see, there aren’t any major differences in color, with only slight deviations in the scan brightness, such as the reduced vibrance and saturation of the TRIOS 4 scan. Every scanner captures color slightly differently depending on how accurately the scanner is able to pick up the light bouncing back off the prep and adjacent teeth.
Monochromatic scans were also taken and previewed in the TRIOS software. These scans provide a better view of the quality of the prep and it is highly recommended to check for any scan issues that would not be as obvious when viewed in color.


The processed monochromatic scans of the same tooth preparation were captured using TRIOS 3, TRIOS 4, and TRIOS 5 intraoral scanners, as previewed in 3Shape Unite. The monochromatic rendering of each scanner may look different in their individual IOS software.
3Shape TRIOS 3 vs 4 vs 5 - Exported Scans in Third-Party Software (Medit Design)
Up until 2017, TRIOS only produced DCM files (Digital Imaging and Communications In Medicine files) storing all the distinctive data derived from the TRIOS intraoral scanner, such as shade measurement, high-definition photos, color imaging, margin lines, annotations, and patient data in addition to its color digital impressions.
Currently, 3Shape is an open ecosystem with the ability to download scans in various file formats such as an STL file (Standard Tesselation Language file) or PLY file (Polygon File Format) in 2020 with the launch of TRIOS 4.
With this launch, seamless integration with external dental laboratories utilizing other CAD software besides their in-house TRIOS software became possible.

All TRIOS scans were exported in an STL format and previewed in the Medit Design app.
All three TRIOS scanners are capable of exporting scans in an STL, PLY, and DCM file format.
Below is a comparison of the file sizes.
TRIOS Scanners STL File Size Compared
TRIOS Scanners PLY File Size Compared
TRIOS Scanners OBJ File Size Compared
Below you can also see the exported STL files in the third-party software (for this comparison’s case we used the Medit Design app) with the tessellated mesh. All the scans were exported with their default settings. By exporting the scan data and viewing them within a third-party software like Medit Design, we are able to view and assess the scans without TRIOS’ software rendering.

Tessellated meshes of each TRIOS scan as previewed in the Medit Design app.
When we take a closer look, TRIOS 5 seems to have the densest mesh, closely followed by TRIOS 3 and then TRIOS 4 (which look very similar).
This can also be seen in the table above as TRIOS 5 exports the largest files across all three formats. There are still yet to be any studies investigating the clinical significance of mesh density, but in this case, a denser mesh does not necessarily indicate a ‘better scan’.
3Shape TRIOS 3 vs 4 vs 5 - Scan Accuracy
3Shape scanners are generally regarded as quality and accurate devices, with studies backing these claims. However, let’s see how they hold up to each other and the improvements the latter scanners compare with its predecessor.

Mesiobuccal prep margin of each scan as previewed in the Medit Design app.
Prep margin lines can also be reviewed using third-party software. Current intraoral IOS devices project a light source onto the tooth/gum surfaces to be scanned. For an accurate scan, it's crucial that this light is reflected from the target site into the IOS sensor properly. If, instead, the light penetrates the surface and does not bounce back properly, it can result in inaccurate scans or if incorrect scan strategy is used this can also cause this due to stitching errors.
IOS devices are not magic. They cannot scan subgingival preparations without proper tissue and moisture control. In our opinion you can see the margin is easier to read with the TRIOS 5, but only slightly.
For this iDD comparison, we used the latest 3Shape scanner, TRIOS 5, as our point of reference to view the deviations of the scans when aligned using Medit Design’s Deviation Display mode.
Based on the colored deviation key, we can see that the scan meshes are -0.050 to +0.050 mm deviation in comparison to the TRIOS 5 reference and seems to have very little to no deviation around the prep area.

Deviation map of the scans as compared to TRIOS 5’s reference scan and sectional view.
This is also supported by the cross-section of the scans, in which we can see that there is minimal difference between the aligned scan data.
Is 3Shape TRIOS 3, 4 or 5 compatible with Invisalign?
I’ll start with the good news and that is a YES for TRIOS 3. This is one of the key reasons that TRIOS 3 continues to sell and is a choice for many clinicians - you can submit Invisalign cases in all countries except US, Japan and China.
In fact even the 3Shape Trios 2 is also accepted by Invisalign. When we say Trios 3 scanners it includes the Trios 3 Basic and again only accepted outside of the US, Japan and China. You can read more about all the third party scanners officially accepted for Invisalign® Aligner Case Submission here.
Now to the bad news, the newer TRIOS 4 and TRIOS 5 are not accepted by Invisalign and that isn’t likely to change but there are a lot of other clear aligner providers that you can use today.
You will notice there is also the Dentsply Sirona CEREC Omnicam listed in the Align document, but we would not recommend that for full arch scans. It is challenging to use due to the fact there is no anti-fog heater or fan built into the scanner, it is built into the cart. So it cools during a full mouth scan and starts to fog up which can be frustrating and result in stitching errors which affects accuracy. The CEREC Omnicam is perfectly fine for quadrant scanning and making accurate fitting same day crowns which is the main reason dentists invest in one, it's just not ideal as an aligner scanner in our opinion.
Have a TRIOS 3 and want to start sending cases to Invisalign here is what you need to do.
3Shape offers a course for TRIOS users outside the US, Japan and China that teaches you how to submit TRIOS cases to Invisalign. Taking this course will certify you to send TRIOS cases to Invisalign. Access to the training is limited to authorized (non US) users only. Signing up can be done through 3Shape Academy. Of course you need to be an official Invisalign® Provider and be setup on the 3Shape Communicate portal too.
3Shape TRIOS 3 vs 4 vs 5 - Conclusion
At the Institute of Digital Dentistry, we objectively test and review each intraoral scanner on the market to help other dental professionals to form their own opinion and buy the right equipment for their practice. By doing so, we hope posts like this help answer some of the questions you may have to aid you in making an informed purchase.
There is no significant deviation between all three of 3Shape’s TRIOS intraoral scanners. They all work well and are great products.
So how do you choose between the three TRIOS scanners? Well in my opinion its simple.
If you are on a budget - get the TRIOS 3. Even though it is an 'old' scanner, it still works extremely well in this market.
If Invisalign is important for you (and you are not based in USA, China or Japan) - get TRIOS 3.
Otherwise if you have the money - get TRIOS 5. Ergonomically it is much better than both T3 and T4 and the wireless works fantastically with long life batteries.
That leaves the TRIOS 4 - which in this market and having these other 2 options I am not sure why anyone would buy anymore. TRIOS 5 has a better battery, and TRIOS 3 is cheaper.
In saying that here are some things to consider:
- The TRIOS 4 comes with the so-called SmartCord. This enables you to have both a wired and wireless scanner in one device. For clinicians on the fence between wired and wireless, this is could be a good option.
- Compared with a wireless TRIOS 3, the battery life is better for TRIOS 4 and the tip heats much faster. If tip heating time is an issue, that could be a purchase decision point. This is not comparable to TRIOS 5 which is the best in all these metrics.
- Compared with TRIOS 3, TRIOS 4 has the ability to aid in the detection of surface caries. The TRIOS 5 can do this as well.
- There are some countries where TRIOS 5 is not approved yet – leaving the TRIOS 4 to be possibly more attractive than the TRIOS 3
In my opinion, if TRIOS 5 is available in your region and Invisalign is not important for you, you should pick that one. Otherwise go for TRIOS 3 in pretty much all other cases.
Here is a comparison table to summarize the difference between 3Shape TRIOS 3, 4, and 5 models:
TRIOS 3 | TRIOS 4 | TRIOS 5 | ||
|---|---|---|---|---|
Scanner Info | Dimensions | 4.8 x 4.0 x 27.3 cm | 4.9 x 4.0 x 27.8 cm | 3.8 x 3.7 x 26.6 cm |
Scanner Info | Weight | 340g | 375g (incl. battery) | 299g (incl. battery) |
Scanner Info | Images captured per second* | 1875 | 1875 | 2400 |
Scanner Features | LED Light Source | |||
Scanner Features | AI Scan | |||
Scanner Features | ScanAssist | |||
Scanner Features | Real colors and shade measurement | |||
Scanner Features | Caries Diagnostic Aid | |||
Scanner Features | LED Ring | |||
Scanner Features | Instant | |||
Scanner Features | Calibration-Free | |||
Scanner Tip | Smart Tips | |||
Scanner Tip | Closed Tip | |||
Scanner Tip | Autoclavable Tips | 150 times | 150 times | 100 times |
Output | File Formats | DCM, STL and PLY | DCM, STL and PLY | DCM, STL and PLY |
Connectivity | Configurations | POD MOVE+ | POD MOVE+ | POD MOVE+ in late 2023/4 |
Accepted for Invisalign® | Accepted outside of US, Japan and China | |||
Cost - Scanner Only | RRP in USD | ~ $19,000 | ~ $22,000 | ~ $26,000 |
Which IOS or type of cases would you like to feature in an iDD Compares?
Leave a comment below about what you’d like us to compare next.
