Introduction to Digital Dentures
I had the opportunity to try out the Rodin Soft Reline Kit, and here is my experience. Relining 3D-printed dentures can be problematic, especially when compared to traditional acrylic dentures.

This article highlights the entire workflow using the Rodin Soft Reline Kit, which we found to be a useful tool in the cupboard if you are a dentist or clinical dental technician delivering or fabricating 3D-printed dentures.
Want To Know More About Digital Dentures?

Learn to design and fabricate high-quality digital dentures using 3Shape Dental System online.
Advantages of Digital Dentures
There are several key advantages to 3D printed dentures and digital dentures:
- The fabrication process is very streamlined.
- It can be done with an entirely digital workflow from either intraoral scans or conventional impressions scanned with a desktop scanner in the lab.
- The design of digital dentures can be rapidly completed with dental design software offered by companies such as 3Shape.
- The dentures can be manufactured very quickly by utilizing 3D printing or milling.
- In the event of the patient losing or breaking the denture, a digital denture can immediately be remanufactured.
- Digital denture can be prototyped quickly with 3D printed try in resins.
- Small changes can easily be made to the denture on the design software.
- If the first denture is a transitional denture, the tooth set up of the denture can also be reused for the final denture or implant bridge. This gives more consistency to the treatment provided to the patient.
3D Printing vs. Milling Dentures
The denture-designed files can either be printed or milled.
Speed and Cost Comparison
Printing is faster and more economical than milling:
- 3D printing dentures can be completed within 1 hour.
- Material costs of the resin are around $30-50 USD in total
- Milling dentures using Ivoclar Ivotion discs can be completed within 4 hours. Materials costs of the discs is around $200-250 USD.
- The cost of a 3D printer is considerably less than a milling machine capable of milling dentures.
Dr. Byron Park's Preference
So, which one is my preference?
I really love the speed of 3D-printed dentures. They are great for immediate or transitional dentures. The accuracy and fit are excellent. However, the monolithic appearance of the resins makes the aesthetics typically worse than those of multilayered PMMA materials.
I prefer the appearance of milled dentures, which are more akin to traditional heat cured acrylic dentures. The proven track record of PMMA and its longevity guides me towards using milled dentures as my final prosthetic. Typically in an immediate denture case, we will provide 3D printed dentures as the immediate dentures.
Conventionally, dentures are relined typically after 3-6 months. If we have printed the first denture using a digital workflow instead, we provide our patients with a new set of milled PMMA dentures when it is time to reline.

3D Printed Denture (unpolished and uncharacterised)

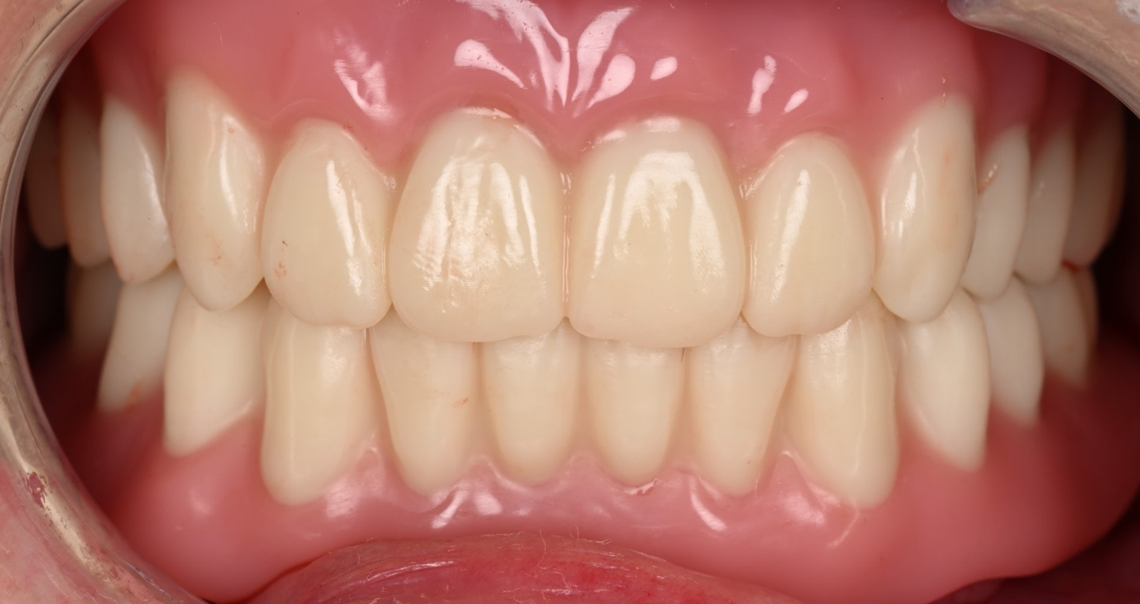
Milled Ivotion Denture (unpolished)
Regardless of 3D printed or milled dentures, the first denture set up can be reused with the base adapted to the healed shape of the edentuluous arches. This is done by using the first dentures to take reline impressions. The dentures are then scanned chariside or in the lab using a desktop scanner. The original tooth set up can easily be replicated or tweaked and the denture base made to fit the new shape of the jaws.
Case Study: Immediate Dentures for a Periodontal Patient
My patient came for a dental visit, accompanied by family. They had a history of extreme dental anxiety and was very embarrassed about the state of their teeth. They didn’t do any oral hygiene or toothbrushing and had a history of smoking and vaping.
Their last dental visit was 5 years ago to get two lower incisors removed as they were very loose. They had wisdom teeth and other molars removed due to periodontal disease.
On examination radiographic bone loss was extending to the middle third and beyond for most of their teeth with almost no periodontal bone around the lower anterior teeth.

Diagnosis and Treatment Plan
My diagnosis was Periodontal Disease, Stage IV, Grade B.
We discussed periodontal treatment options. Ultimately, the patient and family elected to have immediate dentures.
Fabrication of Immediate Dentures
Dental technician Mark Gutierrez at iDD lab designed immediate dentures using 3Shape Dental System denture module.
The dentures were 3D printed using Nextdent 5100 printer. The teeth were printed with NextDent C&B MFH N1 resin and the bases were printed with Nextdent Denture 3D+ Classic Pink.

The lab finished the dentures in 48 hours after receiving the impressions.
This is the power of digital dentures. The design can be done quickly and the manufacturing process of 3D printing allows for rapid fabrication.
The patient’s teeth were removed under IV sedation and the dentures immediately inserted. The patient and family were very emotional when they saw their new smile.
Want To Know More About Digital Dentures?

Learn to design and fabricate high-quality digital dentures using 3Shape Dental System online.
The Importance of Soft Reline and Where the Rodin Kit fits in.
Why Soft Reline?
I typically wait 3-6 months after delivering the immediate denture before proceeding with the final dentures. This allows the remodeling and shrinkage of the edentulous ridges.
Sometimes in this 6 month wait, the first set of dentures can become very loose. In this case, my patient had been using denture adhesive paste and was still struggling with the looseness of the dentures.
Soft reline is not a permanent reline but can help to temporarily improve the fit of the dentures. As well as provide relief if the patient is struggling with adapting to the hard resin or acrylic base rubbing on their gingiva.
Introducing the Rodin Soft Reline Kit
I was very happy to discover this product by Rodin as it is specifically formulated to bond to 3D printed resins. Traditional acrylic reline materials may not bond to 3D printed dentures. It is a silicon based material that is very smooth and feels comfortable to the patient.
A Closer Look at the Rodin Soft Reline Kit
So what’s included in the Rodin Soft Reline Kit:
- Adhesive Primer to bond to the 3D printed resin
- 6 x Applicator swabs to apply the primer.
- Cartridge of soft reline material that fits in a normal impression dispensing gun
- 6 x wide mouth dispensing tips
- Brown Scotch-Brite wheel to roughen the intaglio surface of the denture
- Tapered Cone Finishing Stone


Additional Required Materials
What is required but not included is a straight handpiece or lab handpiece. You will also need an acrylic bur to bevel the borders of the denture.
Not included is an optional bottle of VPS release used to easily remove the soft reline material.
Step-by-Step Guide to Using the Rodin Soft Reline Kit
There are clear instructions included with the kit. I booked a 30 minute appointment for upper and lower soft reline.
Preparation
First make sure the dentures are clean. I made sure to wipe off any denture adhesive on the intaglio surface.


Bevel the borders of the dentures to create room for the reline material to wrap around. Brown Scotch-Brite wheel used to roughen the intaglio surface to improve bonding of the reline.


Application Process
Adhesive Primer applied using applicator swab and allowed to dry for 2 minutes.


Even coat of soft reline material dispensed over intaglio surface. 5 minute intraoral setting time.


Finishing Touches
Excess can be trimmed from borders with scalpel blade and a finishing stone can also be used to trim material as well.
I did one denture at a time and after inserting the denture in, the patient and I did border moulding movements with the lip and tongue to adapt the material functionally.
I guided the patient into the correct occlusion against the opposing denture and hold it there to avoid creating an uneven occlusal cant.
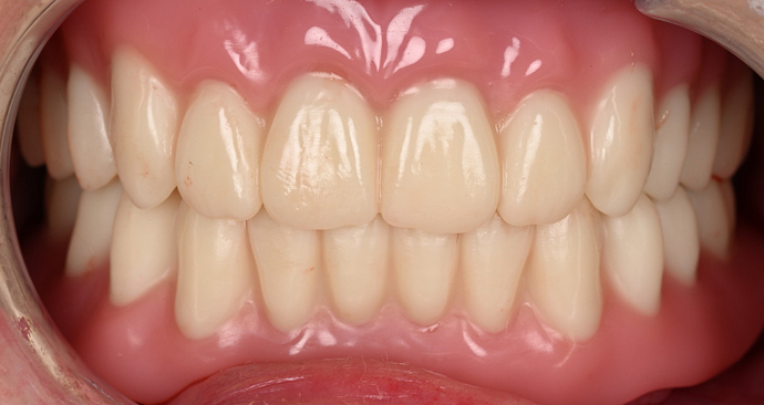
Results and Patient Feedback
My patient immediately noticed a difference.
The upper denture retention was greatly improved and they didn’t need to use denture adhesive. The dentures had a more intimate fit to the tissues and felt more comfortable to wear.

Final Thoughts and Recommendations
3D printing and printed resin dentures are becoming more common in dental offices and labs. It is important to have high quality materials that are compatible for use with 3D printed dentures.
I found the Rodin Soft Reline Kit to be very intuitive, easy and fast to use for chairside soft reline. I would recommend this kit to dentists or clinical dental technicians who deliver or fabricate 3D printed dentures.

