Following our discussion with Ayush Bagla about Ackuretta's innovative approach to 3D printing solutions in our previous podcast episode, we're shifting gears to explore another crucial aspect of digital dentistry.
In this episode of Digital Dentistry Decoded, we had the pleasure of speaking with Jordan Reiss, Senior Director of Clinical Strategic Development at DEXIS.
With over two decades of experience in the dental industry, Jordan brings extensive knowledge in diagnostic imaging, hardware, and software integration. His perspective on the future of dental imaging and software integration offers valuable insights for practitioners looking to enhance their digital workflows.
Listen to the episode below or continue reading for the episode's highlights:
Listen on Spotify
Background and Experience
Jordan's journey in dentistry began in 2003, and he has since worked with several major companies including Carestream Dental, Orbit Imaging, and now DEXIS. His expertise primarily focuses on diagnostic imaging, where he's witnessed the evolution from basic 2D radiography to advanced 3D imaging systems.
"I joined the dental industry in 2003, coming from management consulting," Jordan shares. "I just kept asking how do they know how to use this? How are they understanding all of this technology? And I wasn't getting great answers, so I just figured I would learn it all." This drive to understand and improve dental technology has been a constant theme throughout his career.
DEXIS in the Market
Despite being somewhat out of the spotlight compared to companies like 3Shape and Medit, DEXIS holds significant market share in various sectors. As Jordan notes, "We're number one in market share in the United States in the CBCT market, in the intraoral sensor market, and the portable handheld x-ray market."
The company's strength lies in its focus on solutions rather than marketing, with a commitment to developing comprehensive imaging and software solutions that integrate seamlessly into dental practices.
You can read iDD’s full review of the DEXIS IS 3800 Wireless, here.
The Evolution of Dental Imaging
The conversation provided insights into how dental imaging has transformed over the past two decades.
Jordan highlighted a significant milestone: "The iCAT actually this month is celebrating 21 years since getting first FDA clearance. And that was one of the top three units to even do 3D in dentistry."
This evolution has seen dramatic improvements in image quality, radiation reduction, and workflow integration. Today's CBCT units can achieve extremely low radiation doses while providing superior diagnostic information.

i-CAT FLX V-Series by DEXIS
CBCT Selection Guidelines
When discussing how to choose a CBCT unit, Jordan emphasized several key factors that practices should consider:
- Long-term sustainability of the manufacturer
- Image quality and resolution capabilities
- Field of view options
- Workflow integration possibilities
- Software compatibility and ease of use
"You want someone (company) who's going to be there now and into the future," Jordan explains. "These large units are quite expensive. It's an investment to make."

For general dental practices, Jordan recommends considering field of view carefully: "The 10 by 10 is the most popular field of view. And then have some smaller ones from there that are available to you."
This size typically provides adequate coverage for most dental procedures while maintaining excellent image quality.
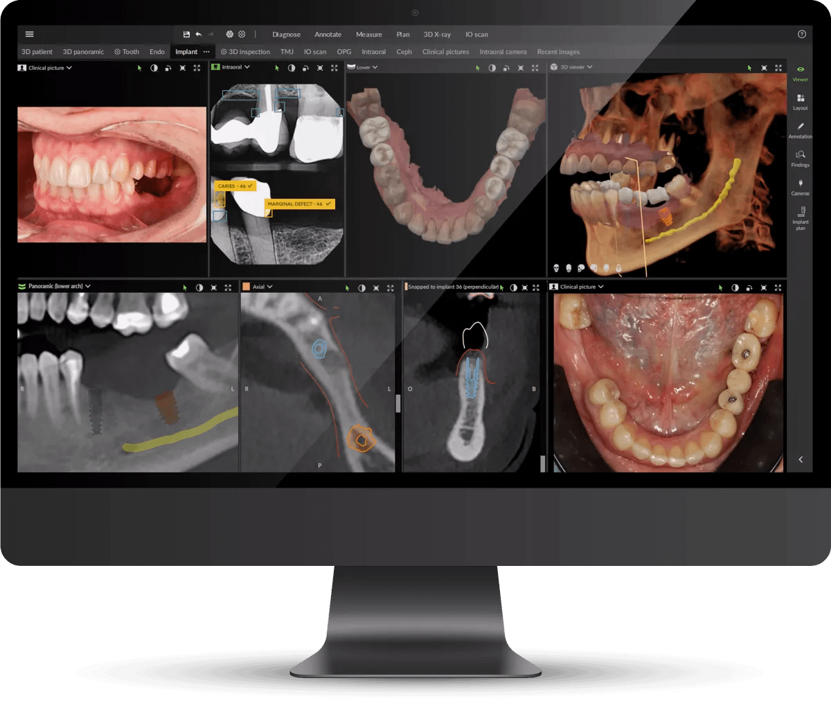
DTX Studio Clinic: The Future of Dental Software
One of the most exciting developments discussed was DTX Studio Clinic, DEXIS' comprehensive imaging platform. The software represents a significant leap forward in dental imaging integration, featuring:
- AI-powered image alignment and analysis
- Automatic nerve canal tracing (FDA cleared)
- Seamless integration of 2D, 3D, and intraoral scan data
- Automated surgical guide creation
- Advanced diagnostic capabilities
- Patient education tools

What sets DTX Studio Clinic apart is its ability to unify various imaging modalities in one intuitive platform. "When you use 2D, you're getting two thirds of the information," Jordan explains. "With 3D, you get three dimensions. This ability to cut through the teeth in an axial or cut through the anatomy... you need to see and move that to any angle you want just blows me away."
AI Integration and Workflow Enhancement
The platform's AI capabilities are particularly noteworthy. As Jordan emphasizes, "It's not about AI. It's about AI as part of a workflow, as it benefits you - it's assisted, not artificial intelligence." This practical approach to AI implementation focuses on enhancing efficiency rather than replacing clinical judgment.
The software can:
- Automatically file and organize radiographs
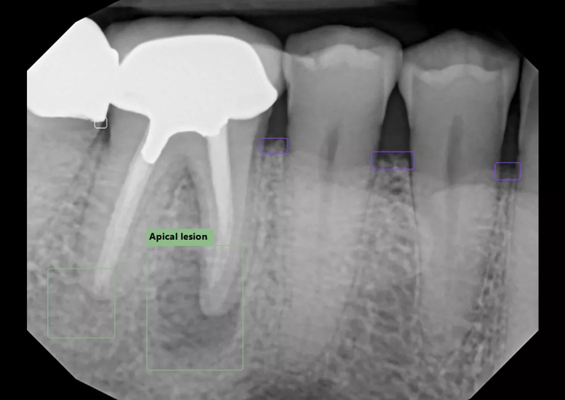
- Detect caries, calculus, bone loss, and other pathologies
- Trace nerve canals automatically
- Create panoramic curves
- Suggest virtual tooth positions for treatment planning



Patient Communication and Education
One innovative feature of DTX Studio Clinic is its patient education capabilities.
Jordan highlighted their SMILE by DTX feature: "After you place an implant, you can get a 3D rendering that rotates around that implant. And you can push a button. It creates a QR code so that the patient can go home and on their phone or tablet or computer, they don't install software, they click on it and it just does, it's like a gif."
Looking Ahead
The future looks promising for DEXIS, with major announcements expected at the upcoming IDS. Jordan hints at further developments in the DTX ecosystem, particularly in streamlining implant workflows and enhancing AI capabilities.
"Imagine without giving up too much, that there were even less clicks to get you through those steps," Jordan teases. "Everything's organized possibly across multiple modalities for you so that you are presented with the information you need."

Final Thoughts
The episode concludes with a discussion about the exciting state of digital dentistry.
As Jordan puts it, "When you show someone in medical what we do with CBCT, they're blown away by the resolution and the software - it just doesn't exist in that market."
This conversation with Jordan Reiss provides valuable insights into the future of dental imaging and software integration. It's clear that we're entering an era where AI-assisted workflows and seamless data integration will become the norm, making digital dentistry more accessible and efficient than ever before.
Stay tuned for more episodes of Digital Dentistry Decoded, where we continue to explore the latest innovations in digital dentistry with industry leaders. Don't forget to like, subscribe, and follow us on your preferred podcast platform to stay updated with all things digital dentistry.

