Introduction to Navident EVO
In the rapidly evolving field of digital dentistry, dynamic navigation systems are emerging as game-changers, particularly in implantology and complex dental surgeries. These systems promise enhanced precision, improved patient outcomes, and potentially shorter procedure times. At the forefront of this technology is the Navident EVO by ClaroNav, a company based in Toronto, Canada, known for developing cutting-edge medical 3D visualization and surgical navigation systems.
Here at the Institute of Digital Dentistry, we've been at the forefront of testing and reviewing the latest advancements in dental technology. Our mission is to provide unbiased, hands-on insights to help dental professionals navigate the often overwhelming world of digital dentistry.
In line with this commitment, we recently had the opportunity to assess the Navident EVO system, and we're excited to share our first impressions.
What is Navident EVO?
Navident EVO is a state-of-the-art dynamic navigation system designed for dental surgery. But what exactly does that mean? Imagine having a real-time GPS for your dental procedures - that's essentially what Navident EVO offers.
This system utilizes advanced computer guidance to assist surgical procedures, combining 3D imaging with real-time tracking to provide live visual cues to the surgeon during the procedure.

The system's name, "EVO," hints at its evolutionary nature in the field of dental navigation. Interestingly, its sleek design bears a resemblance to "Eve" from the Disney movie WALL-E, which may have inspired its naming.
How Does Dynamic Navigation Work?
Dynamic navigation in dentistry represents a significant leap forward from traditional surgical guides. While we've previously explored similar technology with the X Guide system by Nobel Biocare, the Navident EVO brings its own unique features to the table.
At its core, dynamic navigation works by creating a real-time link between the patient's anatomy, the surgical instruments, and a 3D virtual plan. This is achieved through several key components:
- 3D Imaging: Typically using CBCT scans to create a detailed 3D model of the patient's oral anatomy.
- Surgical Planning Software: Allows the dentist to plan the precise position and angle of implants or other interventions.
- Tracking System: Uses cameras or sensors to track the position of the patient and surgical instruments in real-time.
- Display: Provides real-time visual feedback to the surgeon, showing the position of instruments in relation to the planned surgery path.
The result is a system that guides the surgeon's hands with millimeter precision, potentially leading to more accurate implant placements, reduced surgical time, and improved patient outcomes.

In the following sections, we'll dive into our hands-on experience with the Navident EVO, exploring its setup, our first cases using the system, and our initial thoughts on its potential impact on dental surgery.
Whether you're considering implementing dynamic navigation in your practice or simply curious about the latest advancements in dental technology, our first impressions aims to provide valuable insights into the capabilities and potential of the Navident EVO system.
We previously tested the X Guide system by Nobel Biocare. This is a very similar system, and in the future, I will do a full review of the Navident, comparing it to the X Guide.
Our First Impressions of Navident EVO
Training and Setup
Erik Chang from East Asia support office in Taiwan came all the way over to Wellington, New Zealand where we are based. He set up the equipment and provided excellent in house training on the Navident Evo system.
We covered how to set up the equipment and practiced cases on 3D printed dummy models. Starting with planning the surgery, patient registration, calibration of the handpiece and drills and the navigated surgery.
Back in 2023, iDD was lucky enough to interview Erik Chang from ClaroNav at the NZDA Conference in Wellington, New Zealand.
Watch the interview below:
Case Studies
I had two patient cases the next day.
Immediate Implant Placement
First was an immediate implant 15. Erik recorded this procedure with my patient's consent and he prepared a video of the appointment that you can view below to get an idea.
Overall the system worked exactly as intended. The tracking is very precise and I was very impressed. My first impression is that this would be most useful for delayed implant placement in a healed site or multiple implant placement.
For an immediate implant, I find that a 3D printed surgical guide will assist you to resist the tendency of the extraction socket to deflect the implant drill.
Apicectomy of Lower Molar
The second case was an apicectomy of lower molar 36 distal root. This would normally be a very difficult procedure to do due to poor visibility, difficulty to visualise the 3D position of the root apex. However this procedure was completed with high accuracy and efficiency.
The Surgical Process
Surgical Planning
CBCT and intraoral scans are aligned together. Planned to use trephine drill to create window through cortical bone as well as remove the 36D root tip. Axis and depth of the osteotomy are designed with the included planning software.

Patient Registration

Patient is registered to their CBCT data using Tracer instrument provided.
Instrument Calibration

Calibration of the trephine drill using Calibrator tool included.
Live Navigation During Surgery
Live navigation of trephine drill. I had to alter the axis slightly due to difficult access. However the tip of the drill reached the planned location and depth.

Case Results
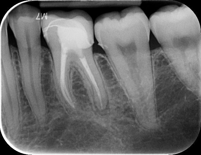
Pre-operative Assessment

Pre op PA showing periapical radiolucency around 36D root apex.
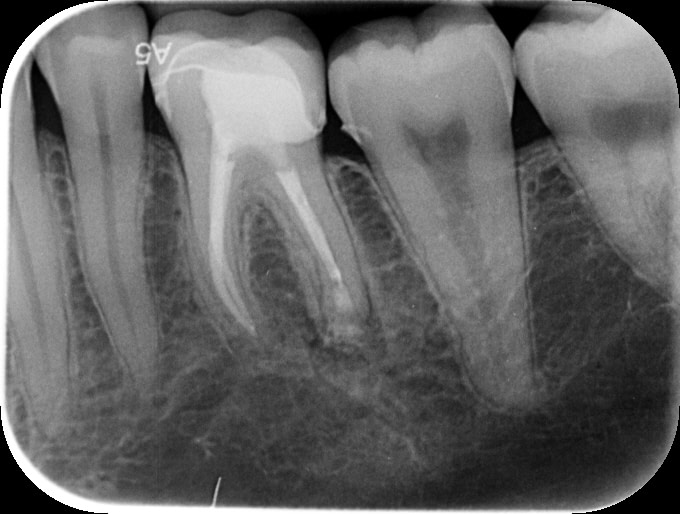
Post-operative Outcome

Post op PA showing completed apicectomy with retrograde MTA putty root filling and bone graft.
Key Features of Navident EVO
Versatility in Handpiece Compatibility
The beauty of the Navident system is that there is no proprietary handpiece. Therefore you can attach trackers to virtually any handpiece: surgical handpiece, high speed handpiece, piezoelectric handpiece.
Range of Applicable Procedures
This opens up the system for many different procedures: Dental implants, zygomatic implants, bone graft harvesting, maxillary sinus lift, endodontic surgery, orthognathic surgery. There is no limit if you have an innovative attitude.
Final Thoughts and Future Plans
Navigated surgery is an impressive technology made possible by pioneering companies such as Claronav. It is exciting to think of all the possible procedures that this technology could be applied to. The technology unlocks improvements to accuracy, minimal invasiveness and efficiency.
I will complete more procedures with the Navident and follow up with a full review article in the future.
In the meantime if you want to read more about Navigated Surgery then please check out the review we did for the X Guide system by Nobel Biocare.

