August 6, 2024

Full arch implant procedures have significantly increased in popularity of the past 10 years. Both among dentists and also patients who are looking for a non-removable treatment modality for the replacement of all their teeth.

Regardless of whether you place implants or not, restoring full arch cases can be incredibly daunting due to the number of steps involved and what was traditionally a very tedious physical processWith the digitization of the industry, many different companies have tried to solve the issue of obtaining accurate full arch scans for implant prosthetics, and one of these companies is Nexus IOS, founded in Melbourne, Australia.

Digitization of Dentistry

Dentistry has been digitising at a blistering rate over the past few years. I think we are all aware of that as we see it all around us. The number of different intraoral scanners available now exceeds 20 different original manufacturers and there are over 35 different current generation intraoral scanners if you include the OEM products.

One factor that no intraoral scanner company has been able to solve is the inaccuracies that happen in full arch implant scans. Let me clarify, intraoral scanners are extremely accurate, as accurate if not more so than PVS impressions, the literature has proven.

However, even when restoring full arch implants with PVS impression, the operator must still go through a verification step, typically using a verification jig which is seated in the mouth. The entire process is tedious with many users trying different techniques to help simplify this process.

When intraoral scanners came on the market, many users tried to scan typical scan bodies in full arch cases and then go to the try-in stage. What that often resulted is, a lack of passivity in the final restoration. It is understood a lack of passivity with a full arch zirconia restoration will undoubtedly lead to prosthetic fracture and failure. 

Hence the problem to be solved when using intraoral scanners and restoring full arch implant cases.

Intraoral scanners are perfectly useable for single unit implant restorations or even implant bridges, but for full arch implant scanning, the literature has shown that the accuracy is very high where the scanner is started at one side of the arch and progressively decreases as you scan the arch over to the contralateral side. 

The scanner can easily pick up scan bodies and soft tissue, the issue is the inter-implant discrepancy that creeps in. Even a discrepancy of 40-50 microns can mean an ill-fitting full arch restoration. Ultimately what this means is that verification jigs are still required if you have a scanner alone.

Photogrammetry in the Digital Implant Workflow

Then comes photogrammetry.

An amazing piece of technology which is used to scan the implant positions. These devices are used in additional to intraoral scanners. We use the iCAM system by iMetric 4D and it works perfectly.

How this workflow is carried out is that once the patient is ready for restoration, they come into the office and an intraoral scan of the multi-unit abutments is taken with a reference scan body.

Then special photogrammetry scan bodies are placed on the multi-unit abutment and scanned with the photogrammetry device. 

This is all sent to the lab for fabrication of the prosthetic.

The main barrier of using photogrammetry is that it is expensive. We are talking $30-50,000 USD depending on the device. Which is a significant investment, especially if you don’t restore many full arch cases in the first place. 

The other issue is the requirement of an extra scanner and more importantly a lab that knows how to utilise the files and use them appropriately in their CAD software.

The Nexus IOS team have worked on a fantastic solution to get around all of this and make restoring full arch cases simpler for the masses.

This is what they call their "Scan Gauge Kit" or colloquially called ‘battleships’ in the industry. These special scan bodies are made from titanium and each scan gauge kit comes with a special code which is recorded by the company. Every single scan body is ID’d and measured for accuracy in their facility up to 1-2 microns. This means by using the scan body, ths is effectively the verification jig as well.

Flatter scan bodies have been proven to be more accurate for full arch implant prosthetics and it is no wonder why the company has chosen this shape for their kit.

I will illustrate the full workflow below. 

Workflow

The patient attended our practice and the implants were ready to be restored.

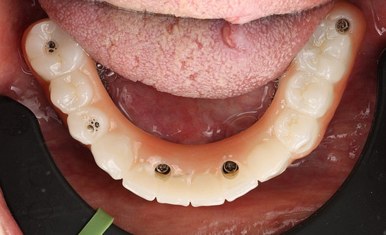
The healing abutments were removed, 3 unique scan bodies supplied in the Nexus Scan Gauge Kit – these are added to the Multi-Unti Abutments in the biggest AP spread. This area is then scanned using an intraoral scanner. In this case we used the TRIOS 5 by 3Shape.

Next the Nexus Scan Gauges are placed on each implant. It is important to place these gauges in a way that forms a ‘bridge’ between each implant position. It is also important to ensure that all 7 facets of the scan gauge can be scanned and that there is a small gap between each gauge.

Once the scan gauges are in place, two final intraoral scans are carried out. A scan from the left side to the right side of the patient, and again, from the right side to the left side. These two scans are then compared to each other and aligned to ensure the captured data is “true”. This method mitigates possible errors introduced by the scanner.

It is important to note that the Nexus iOS system is open to nearly any intraoral scanner. The Osteon Medical team validates intraoral scanners to ensure they are accurate enough for this application.

Once the intraoral scan of the gauges is finished, you can then export the scan .STL files and import them into the AI enabled Nexus Connect software to verify the scan accuracy. This will confirm within a few seconds if the scan gauge scans have been done accurately, which is a great way of getting immediate feedback before sending away the patient.

Once everything is all approved by the software and is correctly aligned, remove the scan gauges and place replace the temporary restorations healing abutments. The rest of the process is carried out within the Nexus iOS portal. All scans can be uploaded, and you can order your choice of final prosthesis.

The most impressive part of the Nexus iOS workflow is that the company is also a high-end lab for these full arch restorations. Their bar-supported full arch zirconia restorations are manufactured to a very high standard. The portal the company has designed is very user-friendly and within a few clicks your order is complete. They have a great automatic email system and mobile application keeping you up to date with every step of the workflow.

Once processed, the team of Osteon Medical CAD designers get to work on your case. Once the initial design is complete, this is shared with you via the a 3D web viewer. You can make any comments or requests as required.

Once you are happy this is followed by a 3D printed Try-In sent from the local Osteon facility, or even better, Osteon can provide an .STL of the design file to print in-house. When we carried this out in the clinic we requested some minor aesthetic adjustments after we showed the patient. However, this is also a good time to check bite and fit. Which was perfect.

The fact the company is open to sharing the STL file with you to print in-house is great and opens up a world of different applications, such as same-day accurate printed prosthetics after surgery. This system is very versatile and is not just for delayed loading cases.

Once we were ready to have the final prosthetic made, we provided our final comments to the Nexus iOS technicians via the Nexus portal. This included anything that the patient wanted changed such as tooth height, angulation, filling buccal corridors etc.

Results

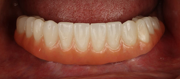
The final prosthesis which was a Titanium bar with zirconia overlay chemically bonded together was delivered a few weeks later.

All manufactured in the Nexus IOS HQ in Melbourne, Australia.

The patient returns to the practice and the prosthetic is fitted in. No adjustments were required to the bite and the prosthetic was completely passive. We were impressed with the fit.

The patient was happy with the result and more importantly it is impressive how what was a traditionally tedious and frustrating process has become as a simple as taking an intraoral scan with what are essentially special scan bodies. The workflow is excellent and makes full arch implant prosthetics stress-free.

Discussion

As mentioned, full arch implant treatment is increasing in popularity. There are currently a number of companies who are trying to solve the digital issue of taking an accurate full arch implant impression using digital intraoral scanners.

Traditionally, the only way has been via verification jigs. These are frankly time consuming and tedious to perform. The other alternative is Photogrammetry. Which works very well and a number of devices have been launched onto the market that use this technology such as PIC, iMetric ICAM and Micron Mapper.

The issue with photogrammetry devices is that they are expensive. In the tens of thousands of dollars. This naturally reduces adoption in the dental practice as many cannot justify the cost of these devices especially if they do not do many full arch cases to begin with. Cost is the number one barrier for adopting digital dentistry technology.

The middle ground of being able to treat these full arch implant cases to a very high degree of accuracy is things like the Nexus iOS system. Special scan bodies essentially that are individually measured and calibrated to ensure that the lab can confirm accuracy to just microns when they receive a scan.

Summary

The greatest benefit of this system is the ease of use. The second benefit is the cost. The full arch prosthetics by the Nexus Lab are within the normal costs of other labs and the scan gauge kits cost around $3900 USD which is a fraction of the price of a photogrammetry device.

If you're already using digital workflows in your implant cases, Nexus iOS could be the missing piece to take your efficiency to the next level. 

For those still on the fence about going digital, this case demonstrates the tangible benefits of embracing new technology.

As we've seen time and time again at iDD, digital dentistry is not just about fancy gadgets – it's about providing better, faster, and more predictable care for our patients. 

The Nexus iOS system is a prime example of how technology can enhance both the clinical process and patient experience. If you are getting into restoring full arch implant restorations or maybe have been doing so already via verification jigs, I strongly recommend you consider the Nexus IOS workflow. 


Want to learn more about integrating systems like Nexus iOS into your implant workflow? 

Check out our free webinar, Efficiency and Accuracy in Full-Arch Implant Restorations from Planning to Delivery, which you can have instant access to by signing up to iDD’s Free Academy.

Alternatively, you can expand your knowledge through iDD’s comprehensive Digital Implantology course bundle here.

From treatment planning to final restoration, we'll guide you through every step of the digital implant journey.

Are you already using Nexus iOS or similar systems in your practice? 

Note: This blog post is based on a case report written by Dr Ahmad Al-Hassiny and originally published by Nexus iOS on May, 2024.

About the author 

Dr Ahmad is a global leader in digital dentistry, intraoral scanners, 3D printing and CAD/CAM, carrying out lectures as a KOL for many companies and industry. He is one of the few in the world who owns and has tested all mainstream intraoral scanners and CAD/CAM systems in his clinic. Dr Ahmad Al-Hassiny is a full-time private dentist in New Zealand and the Director of The Institute of Digital Dentistry (iDD), a world-leading digital dentistry education provider. iDD offers live courses, masterclasses, and an online training platform, with a mission to ensure dentists globally have easy and affordable access to the best digital dentistry training possible.


{"email":"Email address invalid","url":"Website address invalid","required":"Required field missing"}

Read the latest digital dentistry news and reviews:

Align Technology has expanded the iTero Lumina lineup with a third configuration — a laptop-based one. The Lumina is now available as

Read More

As digital dentistry continues to evolve, so too do the components we use in our restorative workflows. One area that has seen

Read More

Since Pac-Dent acquired Ackuretta in late 2025, there's been plenty of speculation about what the combined company would do next. At the

Read More

The 3D Printing Guide Dentists Actually Need I recently joined Dr. Luken de Arbeloa on the DSD Quarterback Dentist podcast to talk

Read More
>