In recent years, artificial intelligence has been making significant contributions to various aspects of dentistry, with radiograph analysis being a prime area of focus. One of the leading players in this field is Pearl's Second Opinion platform, an AI-assisted tool designed to enhance dental 2D radiograph interpretation.
In fact, they recently raised the largest-ever investment in dental AI—$58 million US, to be exact—so it is probably worth paying attention to this. So what is Pearl anyway? What is dental AI radiographic interpretation?
Let's cover it in this review.
As the dental industry continues to evolve with technology, it's crucial to examine these innovations critically to understand their potential impact on clinical practice. Equally important is to remember that AI is a tool to assist, not replace, professional judgment. To effectively utilize and assess AI-assisted platforms, dental professionals must have confidence in their radiographic interpretation skills.
In this review, we'll take a closer look at Pearl’s Second Opinion's features, examining how it functions and considering their potential utility in a dental practice setting. We'll explore the platform's interface, AI detection capabilities, image manipulation tools, and additional features for case presentation and documentation.

Our goal is to provide a balanced view of what Second Opinion offers, helping dental professionals make informed decisions about whether this tool might enhance their diagnostic processes and patient care.
It's worth noting that while AI in dentistry shows promise, its effectiveness can vary based on factors such as image quality, the specific conditions being detected, and how well the system integrates with existing workflows.
With this in mind, let's dive into the features of Pearl's Second Opinion platform and consider how they might fit into modern dental practice.
As always, this is not a sponsored post and Pearl did not have any role in writing this review. This is totally unbiased and based on our own experiences using Pearl Second Opinion. At iDD, we strive to give you information you can rely on. Enjoy the review.
Download the Second Opinion PDF

Download the full page PDF to get a full copy of this article to read later.
Get a high resolution printable copy of this review.
What is Pearl’s Second Opinion?
Pearl is the company, and the platform is called Second Opinion. This browser-based platform integrates with your imaging software or PMS to upload any 2D radiographs taken automatically. Once on the platform, it reads the images and provides you with diagnostic information.Second Opinion positions itself as a "second set of eyes" for dental professionals. It uses AI to analyze radiographs and highlight potential areas of concern. The platform aims to help identify a range of dental conditions, from caries and calculus to bone loss and periapical radiolucencies.


In other words, AI is used to assist dentists in making accurate diagnoses. Or at least a more standardized one. It provides dentists with a “second opinion,” as the company cleverly puts it.
Ophir Tanz and Dr. Kyle Stanley co-founded it, and it is one of only three AI startups with FDA clearance for their use in the clinic (the others are Video Health and Overjet).
Pearl’s clinical AI has gained regulatory authorizations for chairside use in over 120 countries and recognition among 2022’s TIME’s Best Inventions. However, as with any AI tool in healthcare, it's crucial to approach Second Opinion as an aid to, rather than a replacement for, professional judgment.
Review at a Glance
Here's a pros and cons list to provide a quick overview of Pearl's Second Opinion platform:
Pros
Cons
Interface and Image Management
Second Opinion designed its interface with simplicity and efficiency, aiming to integrate seamlessly into dental workflows. It really looks great, is easy to use, and, more importantly, is nice to show patients.
When you log in at secondopinion.hellopearl.com, you are presented with a homepage displaying all the recent patient files which contain all their radiographic images that are automatically populated on the website.

The homepage layout follows a simple and modern looking design, with the most recent image sets appearing in the top left corner and older sets arranged in a snake pattern down the page.
Each entry displays basic patient information, including name, date of birth, and the number of images in the set. This layout allows for quick scanning and retrieval of recent patient records.
A notable feature is the PHI (Protected Health Information) button located in the top right corner. When activated, it replaces patient names with asterisks, providing a HIPAA-compliant view.
This is particularly useful when the screen might be visible to other patients. The ability to reveal names by hovering over the asterisks balances privacy and practicality and is a really nice UI feature.
The platform includes a search function that allows users to locate patients by name, chart number, or visit date.

Image management within Second Opinion is relatively flexible. The system attempts to automatically mount images in the correct positions within a full mouth series. However, users can easily drag and drop images to new positions if adjustments are needed. When repositioning an image, the system prompts for confirmation of the new tooth range, which helps maintain accurate records.
Navigation through image sets is straightforward. You can move between images using on-screen arrows, keyboard arrow keys, or a dropdown menu.
Comparing current and historical images side-by-side is a useful feature for tracking changes over time. However, its effectiveness will depend on the consistency of image capture techniques between visits.

One limitation is that Second Opinion relies on images being captured through your regular imaging software and then synced to the platform. The seamlessness of this process may vary depending on your existing systems and network setup. It also means you cannot simply upload an image into Second Opinion for it to read, like other AI software.
Overall, the design of Second Opinion's interface and image management features is really well done. It is one of the best AI platforms I have seen. It is very easy to use, and the UI looks modern and futuristic. As with any new system, there will likely be a learning curve as teams adjust to incorporating it into their daily routines.
AI Detections
The cornerstone of Second Opinion's offering is its AI-powered detection system.
Pearl currently only analyzes 2D radiographs, including intraoral radiographs and OPGs. 3D X-ray analysis is under development and is scheduled for release later in 2025.

Second Opinion aims to assist dental professionals in identifying a range of dental conditions by automatically highlighting areas of potential concern. However, it's crucial to remember that the accuracy of AI detections can vary, and dental professionals must be able to evaluate these suggestions critically.
Pearl’s Second Opinion can report on six conditions on 2D x-rays at this stage. Let's go over each one of the AI detections below:
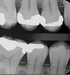
Bone Measurements
The system provides automated measurements from the crest of the bone to the cementoenamel junction (CEJ). These measurements are color-coded to indicate severity:
- White: 0-2.5 mm
- Yellow: 2.5-4 mm
- Amber: >4 mm
This feature is helpful for periodontal assessments, streamlining the process of identifying areas of bone loss. However, it's important to note that image angulation can affect the accuracy of these measurements, a limitation the system acknowledges.
I found these lines to be incredibly useful when describing patients' periodontal health. Cool feature, no doubt.

Calculus Detection
Green squares highlight areas of radiographic calculus. This tool is useful for hygienists and dentists in treatment planning and patient education.
Quite self-explanatory and the system didn't seem to miss often, if ever.

Notable Margins
Purple squares indicate areas of notable margins, such as potential overhangs or open margins on existing restorations.
This is particularly useful as well. I find that patients hate hearing that there is secondary decay at the edge of a crown, for example. And it is always a touchy subject if it is a recent crown done elsewhere. With AI, you are effectively removing yourself and any perceived sales bias from the diagnosis. This is what the AI shows.
Great feature.

Periapical Radiolucencies
These are self-explanatory. They are outlined in blue on periapical radiographs. While this could help draw attention to potential issues, interpreting these findings would still rely heavily on the dentist's expertise.

Download the Second Opinion PDF

Download the full page PDF to get a full copy of this article to read later.
Get a high resolution printable copy of this review.
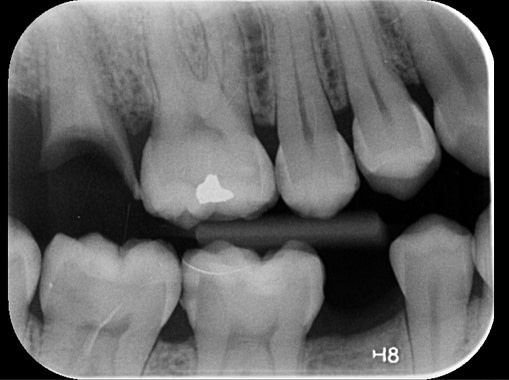
Caries Detection
The best for last and arguably the most well-thought-out feature. Especially with the tooth segmentation mode, which makes it easier for patients to understand their diagnosis and treatment plans.
The system uses two shades of pink to indicate potential caries:
- Light pink: Incipient caries (100% in enamel) - we will often review
- Darker magenta: Caries extending into dentin - we need to restore

The system even provides a percentage breakdown of enamel vs. dentin involvement. I have been blown away by its accuracy while using it, and it makes something that feels quite subjective (reading shades of grey) into a science.
This feature is very useful for patient education and deciding between preventive measures and restorative treatment. However, remember that radiographic evidence alone is not always sufficient for a definitive caries diagnosis.
Sometimes AI doesn’t get it right.
AI is just a tool, and those who think it will get it right and 100% correct each time are thinking of this in the wrong way.
I view Pearl and Second Opinion as a method to standardize diagnosis, educate, and, most importantly, to function as a patient communication tool.
Sometimes, AI does not get it right and does not pick up anything. Or sometimes the detection is wrong, and you should only use it to focus your attention on potentially crucial areas but still make a call yourself.
Here are some things I noticed AI missed or picked up incorrectly:
- It detects a ‘notable margin’ on an implant crown that is just the abutment-crown joint.
- Or calls a natural tooth an implant
- Or misses the apparent secondary decay under a PFM
- Seems to be less sensitive to widening of the PDL, rarely picking it up.
- It denoted leftover resin cement around a crown as calculus
- Does not seem to pick up resorbed roots


But overall, it is still impressive. Of course, AI does not have ‘bad days’, tiredness, or fatigue. It reports things the same way each time. It also gets better with time, one would hope.
So, would I rely on Pearl's Second Opinion entirely? No.
Nor do I think that is the intention. But it is a very cool and helpful tool in the patient exam for sure.
Elevate Your Radiographic Interpretation
Because Every Detail Matters

As dental professionals, precision in diagnosing dental pathology is our primary focus, while remaining vigilant for findings that impact overall health. This comprehensive course sharpens your diagnostic skills and builds the confidence to interpret every radiograph thoroughly.
Case Presentation and Documentation
Second Opinion offers several features to improve case presentation and documentation, improve patient communication, and streamline administrative tasks.
“ToothParts” in Presentations
The ability to toggle the ToothParts feature during case presentations is one of the most powerful patient education tools I have seen.
Visually distinguishing different tooth structures helps patients better understand their conditions and proposed treatments.

In combination with caries and bone loss AI diagnosis, it really works incredibly well and what I appreciate the most about Pearl is that it seems to be designed with presenting to the patient in mind. As its so simple for someone who is non-dental to understand and follow along.
Compare Mode
This feature allows side-by-side viewing of current and historical images. It is useful for demonstrating disease progression or treatment outcomes to patients. Each image in compare mode has its own toolbar, allowing for individual manipulation.

Printouts
The platform offers customizable printout options, which is helpful for patient handouts, referrals, or insurance claims.
Users can input their practice contact information, which is included in printouts. Anything discussed on Second Opinion can be printed and given to the patient.
When printing, you can select:
- Number of images per page
- Page orientation
- Specific images to include
- Which pathologies to display
- Whether to include the ToothParts feature


These printouts are particular useful to print out after an examination for patients to take home, helping to improve their understanding and acceptance of the treatment plan. For insurance purposes, the ability to highlight specific findings might help justify treatment recommendations.
Other features of Second Opinion
One of the strengths of Second Opinion's AI detection system is its flexibility. You can toggle different types of detections on and off, allowing for customized views depending on the focus of examination or patient education needs.
The system also provides an editing tool (it is genius to include this), allowing users to remove false positives or add detections the AI may have missed. This acknowledgment that AI is not infallible and that the dentist's judgment is paramount is a positive aspect of the entire system.
AI Detection Editing
Users can add or remove AI detections. This feature respects the dentist's expertise and final say in diagnosis. Users can draw squares to add detections or click an 'X' to remove them, with options to specify the type of condition being added.
Customizable Detection Display
The system allows users to choose which types of AI detections are displayed by default. This customization could help reduce clutter and allow practitioners to focus on specific areas of interest.
Bone Measurement Customization
Users can adjust the thresholds for bone measurement color coding. This feature recognizes that different practices may have different standards concerning bone loss.
Enhanced View Default
The ability to set a default enhancement level across all devices in a practice ensures consistency in image appearance, which could be particularly useful in multi-dentist practices.
While these AI detections can potentially enhance diagnostic processes and patient education, it's essential to approach them as supplementary tools rather than definitive diagnostic methods.
As with any AI system in healthcare, these detections should be used to inform, not replace, professional judgment. Dental professionals must be confident in their own ability to interpret radiographs to effectively use and evaluate AI suggestions.
Image Manipulation Tools
Second Opinion also provides standard image manipulation tools such as zoom, brightness, and contrast adjustments. A ruler tool is available for measurements etc.
Support and Integration
Second Opinion includes a help center with guides and videos and a system for submitting support tickets. The ease of integrating this platform into daily workflows will likely vary between practices.
I required IT support from Pearl for set-up, and once it was integrated, it seemed to work with no issue.
Integration Considerations
While not explicitly detailed in the training, integration with existing practice management and imaging systems is a crucial consideration.
The platform relies on images captured through regular imaging software and synced to Second Opinion. The seamlessness of this process would likely vary depending on the practice's existing technology setup.
There is no way to upload radiographs manually into Pearls Second Opinion, which is an interesting omission not observed in other AI software such as Diagnocat or Velmeni.
Factors to consider for integration include:
- Compatibility with current imaging software
- Network requirements for image syncing
- Impact on existing workflows
- Training requirements for staff
The cost of Pearl AI and Second Opinion
This is really the make or break of adopting AI into the practice, in my opinion. Cost has always been and will probably always be the number one barrier for digital dentistry.
Regarding pricing, Pearl Second Opinion operates subscription-based.
- There’s a one-off set-up fee is AUD $ 760 + GST in ANZ or 500 USD
- This covers image integration, team training, ongoing support, and 12 months of historical data (compatible software only), so you can review your radiographs from the past year with AI insights.
- The monthly subscription fee is around AUD $ 450 + GST /month in ANZ or 299 USD / month
- There is no lock-in contract.
- These prices only apply to applicable software with tested integrations (Pearl has the most imaging and PM software integrations on the market).
So it is another cost to factor in when running a practice, but the company is confident stating the after using Pearl, doctors experience 37% more disease detected, better patient communication, and 24% higher case acceptance.
So assuming these statements are correct, you should find that the software pays for itself and more because it should help you and the team diagnose more, for patients to be more open to accepting treatment, therefore you treating more.

Download the Second Opinion PDF

Download the full page PDF to get a full copy of this article to read later.
Get a high resolution printable copy of this review.
Conclusion
Pearl's Second Opinion is seriously impressive and enjoyable to use.
It diagnoses accurately but, more importantly, has an excellent UI with a lot of great patient communication features. The ‘Tooth Parts’ feature combined with caries progression and detection is genius.
There are many AI tools on the market. Some seem to be tailored for the dentist to use, while others for patient case presentation, Pearl seems like it's the latter.
It is without a doubt a useful tool and having used it for many months now, I can confidently say that patients respond very positively to this. AI is all around us and it is often seen as a high-tech and reliable technology for the layperson. When professionals include it in dentistry and diagnosis the right way, it makes so much sense.
The fact Pearl allows you to edit any findings and also positions itself as a ‘Second Opinion’ is a masterstroke in AI diagnosis. It really works really well for 2D interpretation and diagnosis, and helps tremendously with patient communication.
The only drawbacks I see are the costs, and the fact it does not do 3D diagnosis (yet). Also one big missing thing with Pearl Second Opinion is lacking the option to manually import xrays into the software like other AI diagnostic tools.
I am not sure why they do not allow you, but it is frustrating if the software integration goes down for whatever reason and then you cannot use the platform anymore because the images you take are not populating on the software. I wish it had the option for a simple manual import - also for cases where x-rays are sent to you from other clinics.
For this reason, while it presents several useful features, Pearl’s value will ultimately depend on how well it integrates with your existing workflow and diagnostic process. As with any AI tool in healthcare, it's important to approach it as an aid to, rather than a replacement for, professional judgment.
Never forget, dental professionals must have a strong foundation in radiographic interpretation to maximize AI-assisted platforms like Second Opinion. Only with confidence in their skills can they effectively evaluate and utilize AI suggestions, ensuring the best possible care for their patients.
Lastly - a big thanks to Gamma Tech, Pearl's official distributor in ANZ for their support during this process. If you are interested in learning more about Pearl and are based on my side of the world, definitely check them out.
Thanks for reading.
Elevate Your Radiographic Interpretation
Because Every Detail Matters

As dental professionals, precision in diagnosing dental pathology is our primary focus, while remaining vigilant for findings that impact overall health. This comprehensive course sharpens your diagnostic skills and builds the confidence to interpret every radiograph thoroughly.

